Causas y soluciones al sangrado de encías
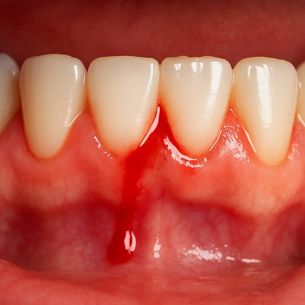
Causas y soluciones al sangrado de encías El sangrado de encías es un síntoma común que muchas personas pasan por […]
Causas y soluciones al sangrado de encías El sangrado de encías es un síntoma común que muchas personas pasan por […]
Encías negras: causas, tratamiento y cómo recuperar el color natural El color de las encías influye directamente en la armonía
Encías retraídas: causas y tratamiento definitivo Uno de los problemas más habituales de las encías son las encías retraídas. Según
Causas y soluciones al sangrado de encías El sangrado de encías es un síntoma común que muchas personas pasan por
Encías inflamadas: causas, síntomas y tratamientos Las encías inflamadas son uno de los problemas más frecuentes en la salud bucodental,