Carillas dentales de alta estética en Madrid
En Alejandro Prieto Dental diseñamos sonrisas perfectas, naturales y armónicas a tu cara y boca con precisión y tecnología digital avanzada. Cuidamos al máximo la estética y naturalidad respetando la luz, la transparencia y la esencia del diente natural. Creamos carillas dentales de alta estética que nadie notará, pero todos admirarán
¿Qué son las carillas dentales?
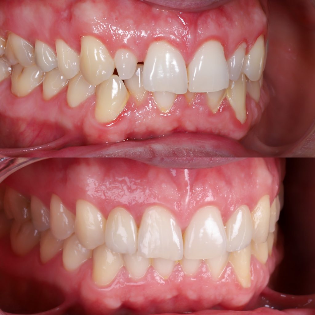
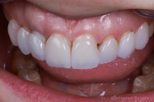
Las carillas dentales son finas láminas de porcelana o composite que se colocan sobre la superficie visible del diente para mejorar su forma, color, tamaño y alineación.
En otras palabras, las carillas permiten transformar por completo una sonrisa sin necesidad de ortodoncia ni tratamientos largos.
En Alejandro Prieto Dental, somos la clínica de referencia en carillas dentales de alta estética en Madrid, con pacientes nacionales e internacionales que buscan resultados de máxima calidad, estética y naturalidad.
- Dientes manchados o amarillentos.
- Dientes desgastados o con pequeñas fracturas.
- Dientes separados (diastemas).
- Dientes desalineados de forma leve.
- Sonrisas asimétricas.
¿Para quién están indicadas las carillas dentales?
Las carillas dentales están indicadas para:
- Una sonrisa más blanca y luminosa
- Corregir imperfecciones estéticas
- Rejuvenecer su imagen facial
- Mejorar su seguridad y autoestima
Son ideales para pacientes que buscan un resultado inmediato, natural y duradero.
En nuestra clínica realizamos un estudio estético completo antes de recomendar cualquier tratamiento, valorando:
- Mordida
- Encías
- Proporciones faciales
- Línea de sonrisa
- Edad y expresión
Tipos de carillas dentales
Carillas de porcelana
Son las más utilizadas en tratamientos de alta estética. Ventajas: Máxima naturalidad, gran resistencia, no se pigmentan, duración como la de un diente natural (puede durar toda la vida) y estética superior.
Carillas de composite
Se realizan directamente sobre el diente. Ventajas: Precio más económico, no requieren laboratorio dental, tratamiento más rápido. Desventajas: Menor durabilidad (máximo 5 años), se pigmentan con el tiempo, estética inferior a la porcelana, requieren más mantenimiento y son menos resistentes.
Carillas sin tallado
Las carillas sin tallado son finas láminas de porcelana que se colocan sobre el diente sin tallarlo o desgastarlo. Son una opción estética conservadora para mejorar la forma, el color y la alineación de los dientes.
Ventajas: No se lima el diente (tratamiento reversible en muchos casos), procedimiento rápido y poco invasivo, resultado muy natural, no suele requerir anestesia.
Indicadas para: Dientes pequeños o desgastados, separaciones (diastemas), manchas que no se quitan con blanqueamiento, pequeñas irregularidades de forma.
No recomendadas para: Dientes muy salidos o muy apiñados, mordidas muy fuertes o bruxismo severo.
“Unas carillas bien hechas no deben notarse más alla de una sonrisa perfecta: tan naturales que sean imperceptibles al ojo humano.”
-Dr. Alejandro Prieto
Ventajas de las carillas dentales
- Mejoran de forma inmediata el color, la forma y el tamaño de los dientes.
- Resultado muy estético y natural (especialmente en porcelana).
- Aumentan la confianza al sonreír.
- Tratamiento rápido (incluso una sesión con composite).
- Corrigen manchas, desgastes, separaciones y pequeñas malposiciones.
- En algunos casos pueden colocarse sin tallar el diente (carillas sin tallado).
Desventajas de las carillas dentales
- El coste inicial es elevado, aunque en el caso de las carillas de porcelana pueden durar toda la vida.
- En algunos casos, las carillas de porcelana requieren tallado dental (tratamiento irreversible). Aunque con las carillas sin tallado, no se lima el diente.
- En el caso de carillas de composite, requieren mantenimiento ya que duran un máximo de 5 años, -las carillas de porcelana pueden durar toda la vida-.
- No están indicadas en casos de apiñamiento severo o mordidas muy descompensadas, ya que habnía que tratar esto antes.
Precio de las carillas dentales en Madrid
El precio de las carillas dentales en Madrid ronda entre los 250€ hasta los 690€ por diente, dependiendo del tipo de carilla (porcelana o composite) y el número de carillas.
- Carillas de composite precio: desde 250€ por diente.
- Carillas de porcelana: desde 550€ hasta 690€ por diente.
- Carillas dentales precio toda la boca: desde 14.000€ (20 piezas recomendadas para arcada superior e inferior).
El número de carillas necesarias para toda la boca suelen ser 20. Lo habitual es entre 6 y 10 carillas en la arcada superior y 6 y 10 en la inferior.
Diferencia entre fundas y carillas
La principal diferencia entre fundas (coronas) y carillas dentales está en la función, el grado de cobertura del diente y la cantidad de estructura dental que se debe tallar.
Las carillas dentales son finas láminas que se adhieren únicamente a la cara frontal del diente para mejorar su estética. Es un tratamiento mínimamente invasivo.
Las fundas o coronas dentales recubren el diente por completo, como un “casco protector”. Se utilizan cuando el diente está muy dañado, fracturado o endodonciado, restaurando estética y función. Para colocarlas es necesario tallar más el diente.
En resumen, las carillas son una solución estética conservadora, mientras que las fundas son un tratamiento restaurador funcional.
Proceso de colocación de carillas dentales
1. Estudio y diseño de sonrisa
Realizamos: fotografías profesionales, escáner intraoral 3D, análisis facial y Diseño Digital de Sonrisa (DSD). Podrás ver tu futura sonrisa antes de empezar.
2. Mock-up (prueba estética)
Creamos una simulación en tu boca para que pruebes tu sonrisa antes del tratamiento definitivo.
3. Preparación mínima del diente
Tallado ultraconservador para preservar la estructura dental. O preparación sin tallado con carillas sin tallado cuando el diente lo permite.
4. Colocación de carillas
Cementado adhesivo de alta precisión con control absoluto del color y la forma.
Conoce al equipo
Alejandro Prieto Dental
Equipo multidisciplinar
En Alejandro Prieto Dental contamos con un equipo multidisciplinar especializado en implantes dentales, dentadura fija sobre implantes con carga inmediata y carillas dentales de alta estética.
El equipo está liderado por el Dr. Alejandro Prieto, cirujano implantólogo de prestigio internacional, experto en implantes de boca completa y en resultados de alta estética dental. Contamos con laboratorio dental en exclusiva, lo que nos permite controlar internamente cada fase del tratamiento para asegurar calidad, precisión y resultados predecibles.
Nuestro objetivo: resultados naturales, estables y duraderos para cada paciente.
Carillas dentales opiniones
Las carillas dentales cuentan con opiniones muy positivas por parte de los pacientes, especialmente por el cambio estético inmediato que ofrecen en la sonrisa. Muchas personas destacan la naturalidad del resultado, la mejora en el color y la forma de los dientes, y el aumento de confianza al sonreír. También valoran que, en el caso de las carillas sin tallado o de mínima preparación, el tratamiento sea poco invasivo e indoloro. En general, la mayoría de los pacientes coinciden en que es una de las soluciones estéticas dentales más satisfactorias y con mayor impacto visual en poco tiempo.
Preguntas frecuentes
¿Qué son las carillas dentales y para qué sirven?
Las carillas dentales son un tratamiento de estética dental avanzado que consiste en finas láminas personalizadas de porcelana o composite que se colocan sobre la parte visible del diente para mejorar su forma, color, tamaño y proporción. Se diseñan a medida en laboratorio o de forma directa en clínica y se adhieren con técnicas de alta precisión para lograr un resultado natural, armónico y duradero.
Sirven para corregir manchas, desgastes, fracturas, separaciones entre dientes, irregularidades de forma y pequeños desalineamientos, consiguiendo una sonrisa más blanca, equilibrada y estética sin alterar la funcionalidad del diente. Es uno de los tratamientos más demandados en odontología estética por su impacto inmediato y su resultado altamente natural.
¿Cuánto valen unas carillas dentales?
El precio de las carillas dentales en España varía según el material elegido. Las carillas de composite cuestan 250 € por pieza, las de porcelana entre 500€-800€, y las de disilicato de litio entre 500€-900€.
¿Cuánto cuesta una carilla en el diente?
El coste de una carilla dental por diente depende principalmente del material y de la clínica, pero en España en 2025 los rangos orientativos suelen ser:
- Carilla de composite: ~250 € por diente.
- Carilla de porcelana tradicional: ~550 € – 800 € por diente.
- Carilla de disilicato de litio: ~550 € – 800 € por diente.
Estos precios suelen incluir la preparación, el diseño estético y la colocación.
¿Qué diferencia hay entre fundas y carillas dentales?
La principal diferencia entre fundas (coronas) y carillas dentales está en la función, el grado de cobertura del diente y la cantidad de estructura dental que se debe tallar.
Las carillas dentales son finas láminas que se adhieren únicamente a la cara frontal del diente para mejorar su estética. Es un tratamiento mínimamente invasivo.
Las fundas o coronas dentales recubren el diente por completo, como un “casco protector”. Se utilizan cuando el diente está muy dañado, fracturado o endodonciado, restaurando estética y función. Para colocarlas es necesario tallar más el diente.
En resumen, las carillas son una solución estética conservadora, mientras que las fundas son un tratamiento restaurador funcional para dientes comprometidos.
¿Qué son las carillas dentales de porcelana y cómo mejoran la sonrisa?
Las carillas dentales de porcelana mejoran forma, color y alineación. Alejandro Prieto Dental diseña sonrisas personalizadas para lograr resultados naturales y estéticos adaptados a cada paciente.
¿Quién debería elegir carillas dentales sin tallado para un resultado natural?
Las carillas sin tallado son ideales para pacientes que buscan un resultado natural. En Alejandro Prieto Dental se conservan los dientes originales mientras se mejora la estética de la sonrisa.
¿Cómo funciona el diseño digital de sonrisa con carillas dentales?
El diseño digital de sonrisa permite visualizar el resultado antes del tratamiento. Alejandro Prieto Dental utiliza tecnología avanzada para planificar carillas con máxima precisión.
¿Cuánto duran los resultados de las carillas dentales de porcelana?
Las carillas de porcelana pueden durar muchos años con buen cuidado. En Alejandro Prieto Dental se emplean materiales de alta calidad para garantizar estética y durabilidad a largo plazo.
Visualizar la transformación
Los cambios de imagen de la sonrisa favorecen mejoras cuidadosas y matizadas, para obtener resultados naturales que garanticen el equilibrio general y la armonía facial.
Descubre la diferencia
En Alejandro Prieto Dental, fusionamos arte, tecnología y máxima precisión para diseñar sonrisas únicas, auténticas y completamente personalizadas.