DR. ALEJANDRO PRIETO
Clínica Dental

Causas y soluciones al sangrado de encías

El sangrado de encías es un síntoma común que muchas personas pasan por alto, pero puede ser una señal temprana de enfermedad periodontal. En Alejandro Prieto Dental, en el corazón del Barrio Salamanca, somos expertos en el diagnóstico y tratamiento de problemas gingivales con enfoque regenerativo y estético. Causas más frecuentes del sangrado de encías […]

Encías negras: causas, tratamiento y cómo recuperar el color natural

Encías negras: causas, tratamiento y cómo recuperar el color natural El color de las encías influye directamente en la armonía y estética de la sonrisa. Aunque lo habitual es que sean de un tono rosado, muchas personas notan encías negras, marrones o de color oscuro, algo que puede generar preocupación o incomodidad estética. En Alejandro […]

Encías retraídas: causas y tratamiento definitivo

Encías retraídas: causas y tratamiento definitivo Uno de los problemas más habituales de las encías son las encías retraídas. Según el Consejo de Dentistas, el 72% de los adultos presenta recesión gingival. Esta afección, no solo afectan la estética de la sonrisa, sino que también pueden causar sensibilidad dental, mayor riesgo de caries y pérdida […]

Causas y soluciones al sangrado de encías

Causas y soluciones al sangrado de encías El sangrado de encías es un síntoma común que muchas personas pasan por alto, pero puede ser una señal temprana de enfermedad periodontal. En Alejandro Prieto Dental, en el corazón del Barrio Salamanca, somos expertos en el diagnóstico y tratamiento de problemas gingivales con enfoque regenerativo y estético. […]

Encías inflamadas: causas, síntomas y tratamientos

Las encías inflamadas son uno de los problemas más frecuentes en la salud bucodental, y su aparición puede ser el primer aviso de una enfermedad periodontal. Aunque al principio parezca algo leve, si no se trata a tiempo puede derivar en recesión gingival, infecciones o incluso pérdida dental.En este artículo, desde Alejandro Prieto Dental, en […]

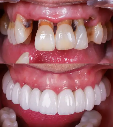
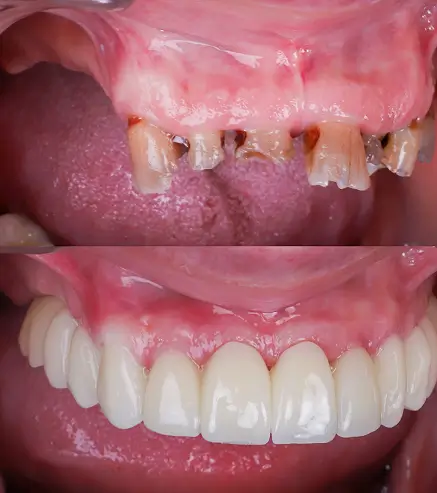
Implantes dentales en Madrid: todo lo que debes saber

Implantes dentales en Madrid: todo lo que debes saber ¿Qué son los implantes dentales? Un implante dental es un pequeño tornillo de titanio que se coloca en el hueso maxilar para sustituir la raíz de un diente perdido. Una vez cicatrizado, se coloca encima un pilar y una corona que imita a un diente natural. […]

¿Qué es la cirugía guiada para implantes dentales?

¿Qué es la cirugía guiada para implantes dentales? La cirugía guiada para implantes dentales es una técnica avanzada de implantología que utiliza imágenes 3D y software digital para planificar con exactitud la posición del implante antes de la cirugía. En lugar de colocar el implante “a mano alzada”, el dentista diseña en el ordenador la posición […]

Cirugía dental para implantes dentales

Cirugía dental para implantes dentales En este post vamos a hablar del proceso completo de cirugía dental para colocación de implantes dentales. Para comenzar, es importante destacar que los implantes dentales son “raíces” dentales artificiales: pequeños tornillos de titanio colocados quirúrgicamente en el hueso maxilar para sostener un diente de reemplazo (corona). En otras palabras, […]

¿Cuál es el proceso de colocación de un implante dental?

¿Cuál es el proceso de colocación de un implante dental? En este artículo explicamos cada paso del proceso de colocación de un implante dental, cuánto tiempo dura y qué esperar durante la recuperación. Para comenzar, es importante entender que los implantes dentales son una solución confiable y a largo plazo para reemplazar dientes perdidos. Un […]

¿Qué son los implantes Yuxtaóseos?

¿Qué son los implantes dentales Yuxtaóseos? En Alejandro Prieto Dental, en el Barrio de Salamanca (Madrid), somos especialistas en los casos más complejos de implantología. Cuando no hay hueso suficiente para un implante convencional, existen técnicas avanzadas como los implantes yuxtaóseos o subperiósticos, los implantes cigomáticos y los implantes pterigoideos. Los implantes yuxtaóseos son una […]