Encías retraídas: tratamiento y soluciones para recuperar la salud gingival
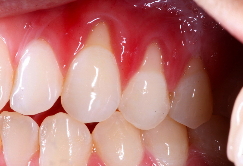
Las encías retraídas son un problema frecuente que ocurre cuando el tejido gingival se desplaza hacia abajo, dejando expuesta la raíz del diente. Esta situación puede provocar sensibilidad dental, mayor riesgo de caries radiculares y afectar la estética de la sonrisa.
¿Qué son las encías retraídas?
La recesión gingival es la pérdida progresiva del tejido de la encía que protege el cuello y la raíz del diente. Puede aparecer en un solo diente o afectar varias zonas de la boca.
Cuando la encía se retrae:
El diente parece más largo
Aparece sensibilidad al frío o calor
Puede haber inflamación o sangrado
Aumenta el riesgo de caries en la raíz

Encías retraídas: causas principales
Las causas más frecuentes incluyen:
Cepillado agresivo
Enfermedad periodontal (gingivitis o periodontitis)
Bruxismo
Malposición dental
Factores genéticos
Ortodoncia previa
Acumulación de placa bacteriana
¿Cómo saber si tengo encías retraídas?
Algunas señales habituales son:
✔ Sensibilidad dental
✔ Raíz del diente visible
✔ Encías más finas o retraídas
✔ Dientes que parecen más largos
✔ Sangrado o inflamación gingival
Ante cualquiera de estos síntomas, es importante realizar una valoración periodontal.

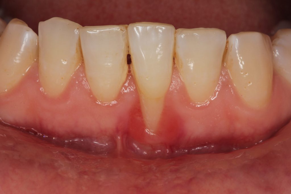
Encía retraída en un solo diente
Puede ocurrir por:
Traumatismo por cepillado
Malposición dental
Fuerzas excesivas al morder
Frenillos insertados cerca de la encía
En estos casos, el tratamiento suele ser más localizado y conservador.
Tratamiento de encías retraídas
El tratamiento depende del grado de retracción y la causa.
Tratamientos conservadores
Higiene profesional
Control de placa bacteriana
Ajuste de técnica de cepillado
Pastas o geles desensibilizantes
Tratamientos periodontales avanzados
Injerto de encía
Cirugía mucogingival
Regeneración tisular guiada

¿Se pueden regenerar las encías retraídas sin cirugía?
En fases iniciales, es posible frenar la progresión con higiene y mantenimiento periodontal.
Cuando la retracción es avanzada, la única forma de recuperar tejido suele ser mediante cirugía periodontal o injertos gingivales.
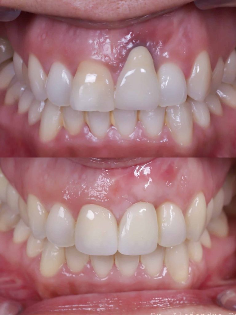
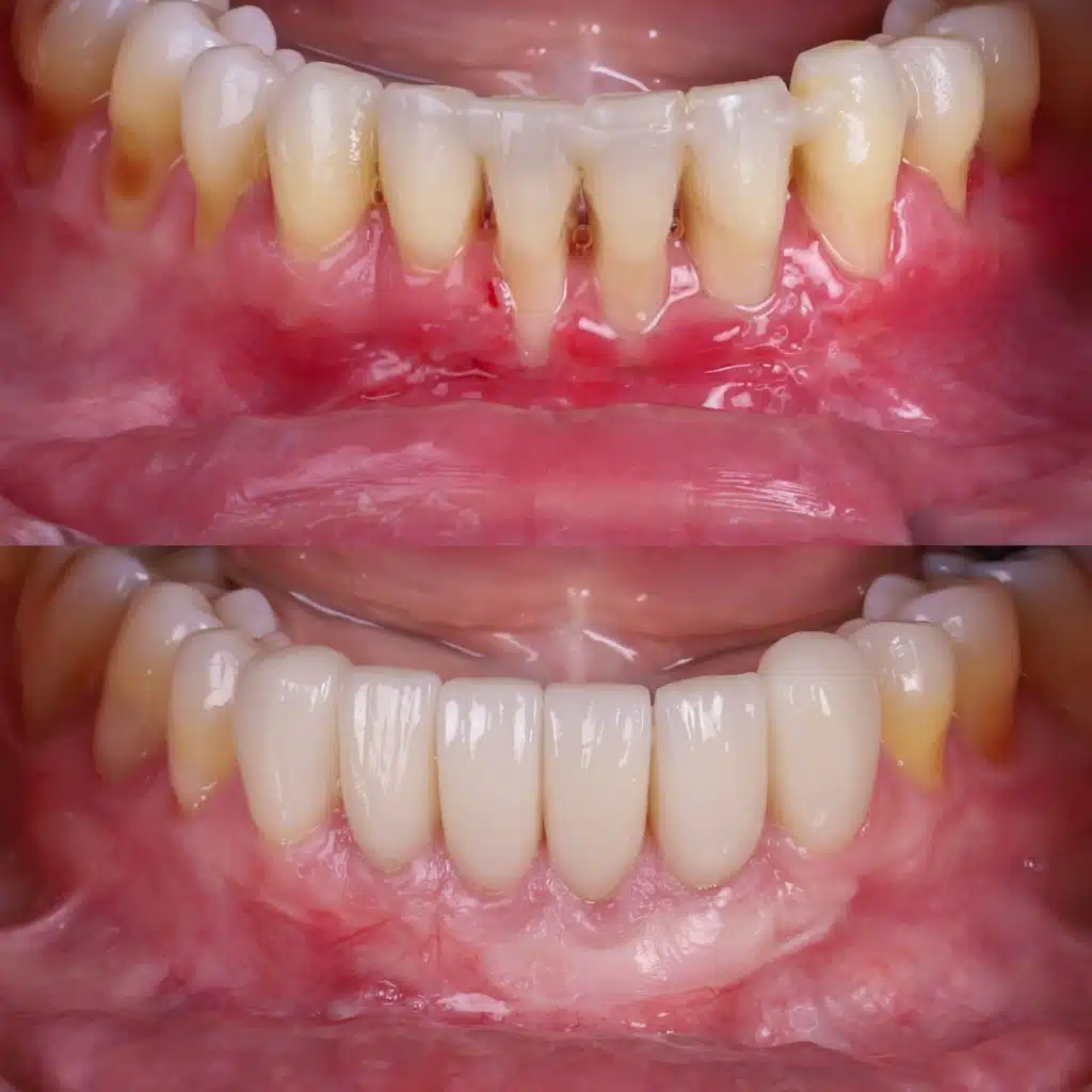
Antes y después del tratamiento de encías retraídas
Tras el tratamiento adecuado:
✔ Disminuye la sensibilidad
✔ Mejora la estética de la sonrisa
✔ Se protege la raíz del diente
✔ Se frena el avance de la recesión


Precio del tratamiento de encías retraídas en España
El coste depende del tratamiento necesario:
Tratamiento periodontal básico → desde 80 – 150 €
Injerto de encía → desde 400 – 900 € por zona
Cirugía periodontal avanzada → variable según complejidad
Siempre es necesario un diagnóstico personalizado.
Opiniones de pacientes
“Tenía mucha sensibilidad y no sabía que era por encías retraídas. Tras el tratamiento mejoró muchísimo.” – Laura, 41 años
“Pensaba que era solo estético, pero el injerto de encía me solucionó la sensibilidad y protegió el diente.” – Carlos, 52 años
“Me explicaron todo el proceso y el resultado fue muy natural.” – Marta, 36 años
Pide tu cita sin coste y realiza un estudio periodontal personalizado.
En Dr. Alejandro Prieto Dental somos especialistas en rehabilitaciones de boca completa con implantes
-Dr. Alejandro
Preguntas frecuentes
No. La encía no se regenera de forma natural cuando ya se ha perdido tejido. Sí se puede frenar el avance con tratamiento precoz.
Si no se tratan pueden provocar sensibilidad, caries radiculares y pérdida de soporte dental.
Normalmente se realiza con anestesia local y las molestias posteriores son leves.
Sí, con higiene correcta, revisiones periódicas y control periodontal.
Pueden ayudar a reducir inflamación, pero no regeneran encía perdida.
conoce al equipo – Alejandro Prieto Dental
Equipo multidisciplinar
En Alejandro Prieto Dental contamos con un equipo multidisciplinar especializado en implantes dentales, dentadura fija sobre implantes con carga inmediata y carillas dentales de alta estética.
El equipo está liderado por el Dr. Alejandro Prieto, cirujano implantólogo de prestigio internacional, experto en impantes de boca completa y en resultados de alta estética dental. Contamos con laboratorio dental en exclusiva, lo que nos permite controlar internamente cada fase del tratamiento para asegurar calidad, precisión y resultados predecibles.
Nuestro objetivo: resultados naturales, estables y duraderos para cada paciente.
Historias de transformación
Si alguna vez te han dicho que tu caso no tiene solución, en Alejandro Prieto Dental desafiamos los límites de la odontología para ofrecerte la respuesta que estabas buscando.
Antes y después

Antes y después

Antes y después

Antes y después

Antes y después

Antes y después


Pide tu primera cita gratuita y empieza tu cambio
Visualizar la transformación
Los cambios de imagen de la sonrisa favorecen mejoras cuidadosas y matizadas, para obtener resultados naturales que garanticen el equilibrio general y la armonía facial.
Ver más historias
EXPERIMENTE LA DIFERENCIA
En Alejandro Prieto Dental, fusionamos arte, tecnología y máxima precisión para diseñar sonrisas únicas, auténticas y completamente personalizadas