Peeling gingival
El peeling gingival es un tratamiento estético que permite eliminar manchas oscuras en las encías, mejorando el color y la armonía de la sonrisa. Este procedimiento, también conocido como despigmentación gingival, es rápido, seguro y cada vez más solicitado en odontología estética.
¿Qué es el peeling gingival?
Es un tratamiento estético que elimina pigmentaciones oscuras en las encías causadas por genética, tabaco o factores hormonales.
Puede realizarse mediante:
- Láser
- Microabrasión
- Técnicas químicas específicas

¿Para quién está indicado?
- Personas con encías oscuras o manchadas
- Pacientes que buscan mejorar la estética de la sonrisa
- Fumadores con pigmentación gingival
- Pacientes con sonrisa gingival estética
Procedimiento paso a paso
- Valoración estética
- Anestesia local
- Eliminación de pigmentación
- Revisión y control
Duración: 30 – 60 minutos.

Recuperación del peeling gingival
- Ligera inflamación inicial
- Cicatrización superficial en pocos días
- Resultado progresivo
Precio peeling gingival España
👉 150 € – 400 € por zona
Depende de:
- Extensión de la pigmentación
- Técnica utilizada
- Tecnología láser

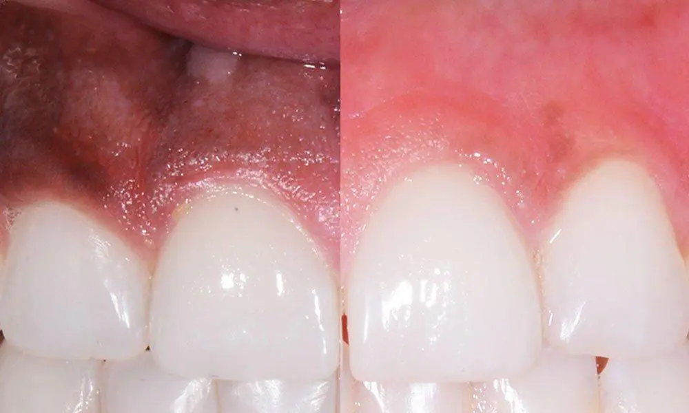
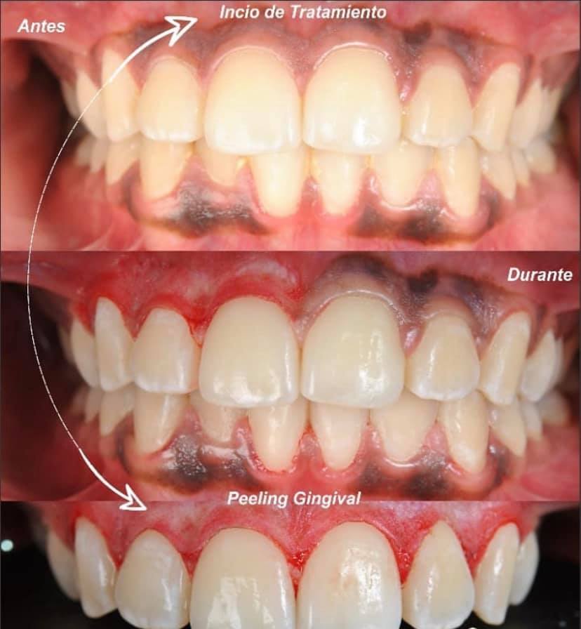
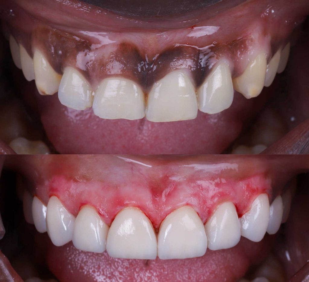
Antes y después peeling gingival
Se consigue un color rosado más uniforme en encías.
El resultado es natural y mejora la estética de la sonrisa.
Laura, 34 años
“Siempre tuve encías oscuras. El cambio fue muy natural.”
Mario, 41 años
“Pensé que dolería, pero fue rápido y cómodo.”
Sofía, 27 años
“Mi sonrisa ahora se ve mucho más limpia y estética.”
Pide tu cita sin coste y descubre si el peeling gingival puede mejorar tu sonrisa.
En Dr. Alejandro Prieto Dental somos especialistas en rehabilitaciones de boca completa con implantes
-Dr. Alejandro
Preguntas frecuentes
En muchos casos sí, aunque el tabaco puede provocar repigmentación con los años.
Sí, es un tratamiento para mejorar el color gingival.
Generalmente sí, dependiendo de la extensión.
¿Cuáles son los tres tipos de implantes dentales?
Los tres tipos principales son:
1. Implantes endoóseos, insertados dentro del hueso.
2. Implantes cigomáticos, anclados en el hueso del pómulo.
3. Implantes subperiósticos, apoyados sobre el hueso cuando no exista volumen suficiente.
Se realiza con anestesia local.
Puede existir ligera molestia los primeros días.
conoce al equipo – Alejandro Prieto Dental
Equipo multidisciplinar
En Alejandro Prieto Dental contamos con un equipo multidisciplinar especializado en implantes dentales, dentadura fija sobre implantes con carga inmediata y carillas dentales de alta estética.
El equipo está liderado por el Dr. Alejandro Prieto, cirujano implantólogo de prestigio internacional, experto en impantes de boca completa y en resultados de alta estética dental. Contamos con laboratorio dental en exclusiva, lo que nos permite controlar internamente cada fase del tratamiento para asegurar calidad, precisión y resultados predecibles.
Nuestro objetivo: resultados naturales, estables y duraderos para cada paciente.
Historias de transformación
Si alguna vez te han dicho que tu caso no tiene solución, en Alejandro Prieto Dental desafiamos los límites de la odontología para ofrecerte la respuesta que estabas buscando.
Antes y después

Antes y después

Antes y después

Antes y después

Antes y después

Antes y después


Pide tu primera cita gratuita y empieza tu cambio
Visualizar la transformación
Los cambios de imagen de la sonrisa favorecen mejoras cuidadosas y matizadas, para obtener resultados naturales que garanticen el equilibrio general y la armonía facial.
Ver más historias
EXPERIMENTE LA DIFERENCIA
En Alejandro Prieto Dental, fusionamos arte, tecnología y máxima precisión para diseñar sonrisas únicas, auténticas y completamente personalizadas