DR. ALEJANDRO PRIETO
Clínica Dental

¿Por qué se ponen puntos después de poner un implante dental?

Mucha gente se pregunta porqué se usan puntos después de colocar un implante dental. Tener puntos (suturas) después de un procedimiento de implante dental es algo común y una parte importante del proceso de curación. Aunque es importante entender que no siempre son necesarios. En esta guía te explicamos todo lo que necesitas saber sobre […]

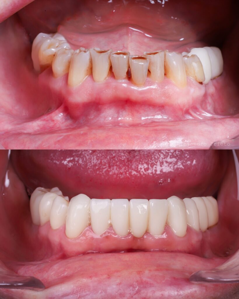
¿Qué son las prótesis sobre implantes?

¿Qué son las prótesis sobre implantes? En Alejandro Prieto Dental somos especialistas en prótesis sobre implantes, una de las soluciones más avanzadas para reponer todos los dientes de forma fija, funcional y estética. Este tratamiento permite recuperar la sonrisa para toda la vida con resultados naturales, cómodos y duraderos. ¿Qué es exactamente? Se trata de […]

Implantes Dentales: Qué Son, Proceso, Beneficios Y Cuidados

Los implantes dentales son pequeñas “raíces” artificiales (generalmente postes de titanio) que se colocan en el hueso maxilar donde faltan dientes. Actúan como nuevas raíces dentales que sostienen un diente de reemplazo (corona), un puente o una prótesis dental. Los implantes se ven y se sienten como dientes naturales y pueden reemplazar un solo diente, […]

¿Ponerse un implante dental duele?

Mucha gente se pregunta si ponerse un implante dental duele. En este post vamos a responder a esta duda general y explicaremos en detalle todos el proceso de colocación de un implante dental. Los implantes dentales son raíces dentales artificiales modernas (generalmente de titanio) que se utilizan para reemplazar dientes perdidos. “Se ven, se sienten […]

Implantes dentales en Madrid, Barrio Salamanca

Implantes dentales en Madrid – calidad y precio en Barrio Salamanca En Dr. Alejandro Prieto Dental Clínica Dental, tu clínica dental de confianza en el Barrio Salamanca de Madrid, somos expertos en implantes dentales de todos los tipos. Mezclamos implantología avanzada con alta estética. Si estás buscando una solución duradera, estética y con precios competitivos, […]

¿Cuánto Cuesta Un Quitar Implante Dental Precio? Guía De Precios Actualizada 2025

Los implantes dentales están diseñados para durar muchos años, pero a veces deben retirarse debido a complicaciones o cambios en el plan de tratamiento. En esta guía explicamos por qué podría ser necesario retirar un implante, en qué consiste el procedimiento y los costos estimados en España (específicamente en Madrid para 2025). También destacamos cómo […]

¿Qué es un implante dental removible?

  Perder uno o varios dientes puede afectar la forma en que comes, hablas y sonríes. Afortunadamente, la odontología moderna ofrece los implantes dentales, una solución segura y confiable para reemplazar dientes perdidos. Los implantes son pequeños postes de titanio que se colocan en el hueso maxilar y actúan como raíces dentales. Sobre el implante […]

Precio implante cementado

  Como hemos hablado en varios post anteriores, un implante dental es una solución fija para reemplazar un diente perdido. Un implante cementado significa que la corona cerámica (el diente visible) está permanentemente unida al pilar del implante con cemento dental. Esto crea una apariencia natural y continua (sin agujeros visibles de tornillo) y una […]

Implante dental de 3 piezas: qué es, cuándo se usa y precio

Implante dental de 3 piezas: qué es, cuándo se usa y precio Si estás considerando colocarte un implante dental, es probable que hayas oído hablar del “implante dental de 3 piezas”. En este artículo te explicamos de forma sencilla y profesional qué incluye este tratamiento, cuándo se recomienda y cuánto cuesta. ¿Qué es un implante […]

¿Qué afecta al precio de un implante dental?

Muchos pacientes se preguntan qué afecta al precio de un implante dental. Los precios de los implantes varían mucho, por eso esta guía explica los principales factores que afectan el coste y ofrece rangos de precios típicos. También destacaremos los tratamientos avanzados con implantes en Dr. Alejandro Prieto Clínica Dental en Madrid para ayudarte a […]