Dentadura Postiza Fija Sobre Implantes: Ventajas y Precios
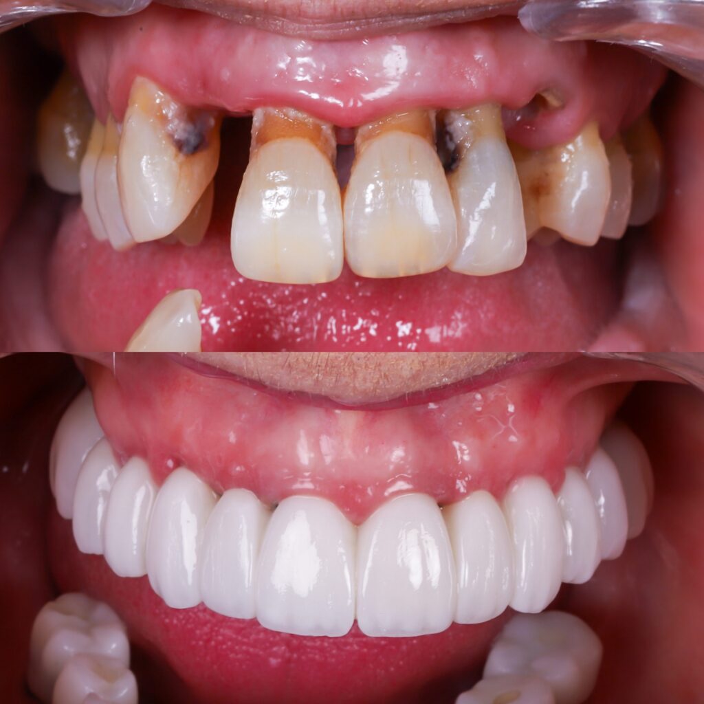
Prótesis Fijas Sobre Implantes: Ventajas y Precios Las prótesis fijas sobre implantes han transformado la vida de pacientes que han lidiado con la pérdida de dientes o con dentaduras tradicionales sueltas. En la Clínica Dental Alejandro Prieto en Madrid, nos especializamos en soluciones avanzadas con implantes que restauran tu sonrisa, confianza y capacidad de masticación, […]







