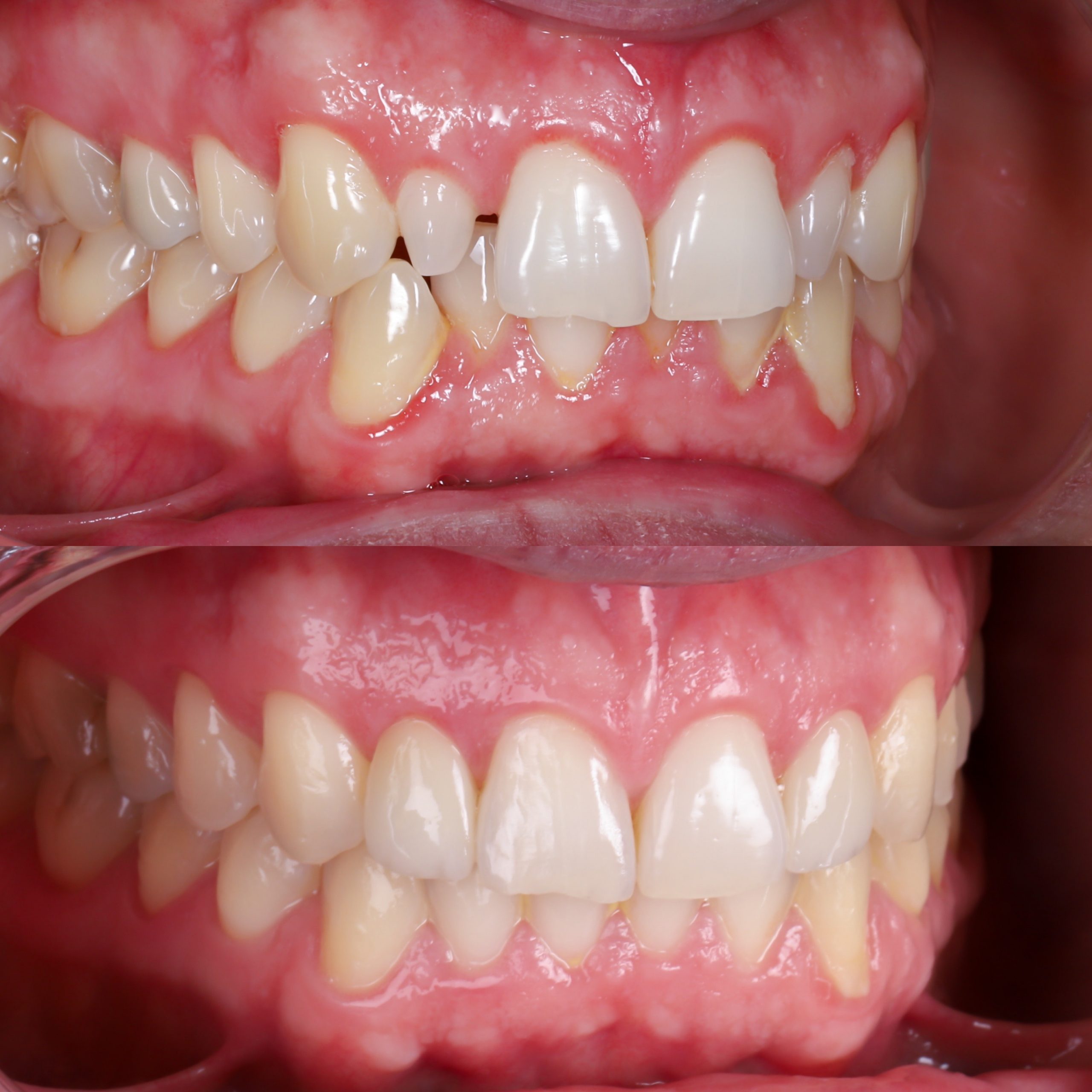
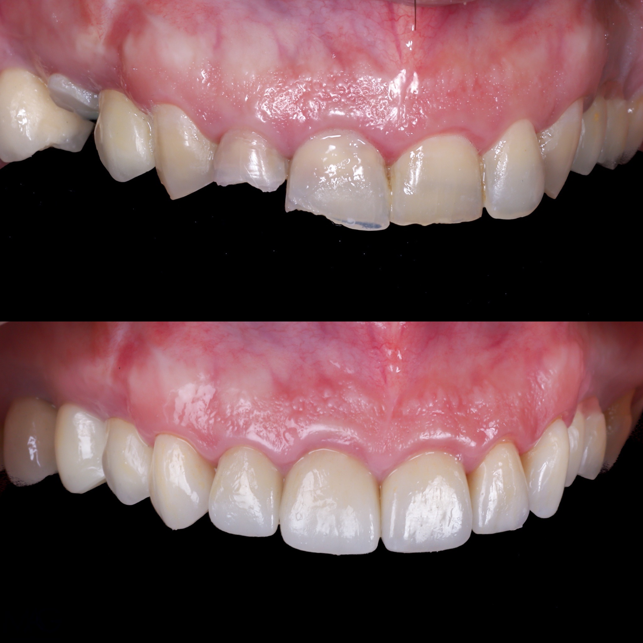
Carillas dentales alta estética antes y después
Con nuestras carillas dentales de alta estética consigue dientes perfectos, naturales, sin tallado del diente original.
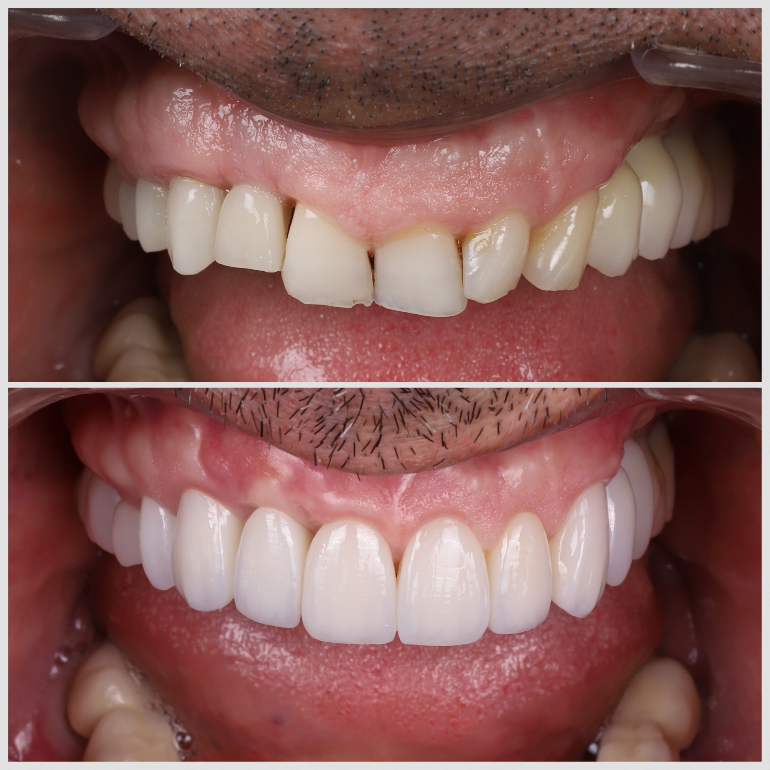
Antes y después implantes dentales
Descubre algunos de nuestros casos reales de implantes dentales
Conoce al equipo
Alejandro Prieto Dental
Equipo multidisciplinar
En Alejandro Prieto Dental contamos con un equipo multidisciplinar especializado en implantes dentales, dentadura fija sobre implantes con carga inmediata y carillas dentales de alta estética.
El equipo está liderado por el Dr. Alejandro Prieto, cirujano implantólogo de prestigio internacional, experto en implantes de boca completa y en resultados de alta estética dental. Contamos con laboratorio dental en exclusiva, lo que nos permite controlar internamente cada fase del tratamiento para asegurar calidad, precisión y resultados predecibles.
Nuestro objetivo: resultados naturales, estables y duraderos para cada paciente.
Preguntas frecuentes
¿Cuántos años duran las carillas en los dientes?
Las carillas dentales duran 5 a 10 años si son de composite y 10 a 15 años o más si son de porcelana o cerámica. Su longevidad depende del material, la higiene diaria, evitar alimentos muy duros y acudir a revisiones periódicas. Las carillas cerámicas mantienen mejor el color y la estética a largo plazo.
¿Cuánto vale una carilla en un diente?
El precio de las carillas varía según el material y la técnica:. En España los precios aproximados son:
Carilla de composite: desde 120 – 250 €
Carilla de porcelana / alta estética: desde 450 €
En Alejandro Prieto Dental trabajamos con materiales premium, contamos con Laboratorio dental en exclusiva y usamos la técnica de diseño digital de sonrisa para garantizar naturalidad, precisión y durabilidad.
¿Cómo quedan los dientes después de quitar las carillas?
Tras retirar las carillas, los dientes pueden quedar sensibles temporalmente, pero recuperan su estado normal con el cuidado adecuado.
Con resinas, es posible volver casi a la sonrisa original.
Con carillas cerámicas, puede quedar una ligera modificación del esmalte.
Con coronas, suele ser necesario colocar nuevas restauraciones.
En Alejandro Prieto Dental utilizamos carillas de alta estética sin tallado o con tallado mínimo, lo que permite mantener el diente original casi intacto y reducir la sensibilidad.
¿Qué desventajas tienen las carillas dentales?
Sensibilidad temporal tras el procedimiento
Desgaste mínimo del esmalte según la técnica
No son adecuadas para todos los casos (bruxismo severo, encías inflamadas). Ya que habría antes que solucionar el problema.
Las de composite pueden oscurecerse con el tiempo
Cuando el caso está bien indicado, estos riesgos se minimizan y los resultados son altamente predecibles.
¿Qué carillas se ven más naturales?
Las carillas de porcelana son las que se ven más naturales. Su textura, transparencia y brillo imitan a la perfección el esmalte del diente, manteniendo la misma luminosidad desde cualquier ángulo. Además, conservan el color a largo plazo, no se manchan y ofrecen una integración estética superior a la del composite.
En Alejandro Prieto Dental trabajamos con carillas de alta estética, diseñadas digitalmente y fabricadas con cerámicas avanzadas que reproducen el color, la forma y la profundidad del diente natural para un resultado natural indistinguible.
Historias de transformación
Si alguna vez te han dicho que tu caso no tiene solución, en Alejandro Prieto Dental desafiamos los límites de la odontología para ofrecerte la respuesta que estabas buscando.
Descubre la diferencia
Si quieres saber si eres candidato a carillas sin tallado y descubrir cómo sería tu nueva sonrisa, te invitamos a una primera valoración sin coste.