Implantes dentales sin tornillos
¿Qué son los implantes dentales sin tornillos?
Solución fija y estética para casos complejos
Los implantes sin tornillos, también conocidos como implantes subperiósticos, son un tipo de implantes dentales para pacientes con falta de hueso severa para poner implantes dentales convencionales. Están compuestos de una estructura metálica personalizada (normalmente de titanio) que se coloca sobre el hueso del maxilar o la mandíbula, pero debajo de la encía, para sujetar una prótesis dental fija. A diferencia de los implantes tradicionales —que se insertan dentro del hueso— los implantes subperiósticos se adaptan a la superficie ósea mediante una estructura diseñada a medida para cada paciente, ofreciendo una solución eficaz en casos de atrofia ósea severa.

Es una técnica avanzada indicada cuando otras opciones no son viables. Son tratamientos muy específicos y no sustituyen en el resto de los casos a los implantes tradicionales, que sigue siendo el standard por su durabilidad y evidencia científica a largo plazo.
En Alejandro Prieto Dental, clínica de referencia en Barrio Salamanca, Madrid, somos especialistas en solucionar casos complejos de falta de hueso para implantes dentales. Ya sea mediante regeneración ósea, elevación de seno o mediante el uso de implantes dentales para pacientes sin hueso.
¿Para quién están indicados los implantes sin tornillos?
Los implantes sin tornillos están indicados para:
Pacientes con falta de hueso severa
Pacientes que han tenido fallos en regeneración ósea
Implantes unitarios o múltiples
Rehabilitaciones completas de boca
¿Cómo se ponen los implantes sin tornillos?
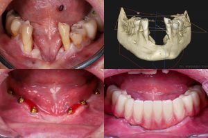
Escáner 3D del maxilar
Diseño digital de la malla personalizada
Fabricación de la malla en titanio
Cirugía de colocación de los implantes sin tornillos entre el hueso y sobre el hueso
Colocación de la prótesis fija en el mismo día de la cirugía

Diferencia entre implantes sin tornillos e implantes tradicionales
| Característica | Implantes sin tornillos (cementados / subperiósticos) | Implantes con tornillos (convencionales) |
|---|---|---|
| Anclaje | Sobre el hueso o cementado | Dentro del hueso |
| Estética | Superior, sin huecos visibles | Puede verse el acceso del tornillo |
| Mantenimiento | Más difícil de retirar | Fácil de desatornillar |
| Tiempo | Recuperación más rápida en técnicas mínimamente invasivas | 4 a 8 meses |
| Éxito a 10 años | 60–80% en casos severos | 95–100% en condiciones normales |
| Evidencia científica | En desarrollo | Más de 40 años de estudios |
¿Cuánto cuesta un implante dental sin tornillos?
El precio es de aproximadamente 3.000 – 3.500 euros. Tiene un precio más elevado que el de uno tradicional porque son mallas de titanio hechas a medida y personalizadas para cada paciente.
¿Cómo se sujetan los implantes dentales sin tornillos?
Se sujetan mediante sistemas de fricción de alta precisión entre el hueso maxilar y la encía.

Puente de dientes fijos sin tornillos
En pacientes sin hueso, es posible colocar un puente de dientes fijos sin tornillos mediante implantes subperiósticos personalizados, devolviendo función y estética.
Ventajas
Excelente estética
Solución para pacientes sin hueso
No requieren injertos óseos
Resultados inmediatos en muchos casos
Son una alternativa cuando no existe otra opción
Desventajas de los implantes sin tornillos
Menor evidencia científica a largo plazo
Más complejos técnicamente
Precio más elevado
No son reversibles fácilmente
Implantes sin tornillos precios
El precio es más elevado que el de un implante tradicional, ya que se trata de una estructura hecha a medida y completamente personalizada. Los precios orientativos en Epaña es de 3.000 € por implante unitario. Para una rehabilitación de boca completa con malla personalizada los precios van desde 12.000 €
El precio más alto y la falta de estudios a largo plazo, les hace una técnica indicada cuando otras opciones no son viables
Opiniones de implantes sin tornillos
Las opiniones sobre implantes sin tornillos suelen ser positivas en pacientes con problemas óseos severos donde otras opciones no son viables. Ya que representan una oportunidad real de volver a tener dientes fijos cuando no existe otra alternativa.
Eso sí, es importante entender que:
Son una solución moderna
Aún está por demostrar su durabilidad a muy largo plazo
Deben ser realizados por cirujanos altamente especializados en casos complejos de pacientes con falta de hueso
Fotos de implantes sin tornillos


Pide tu cita sin coste
Te realizaremos:
Estudio completo
TAC dental sin coste
Diagnóstico personalizado
Explicación detallada de la mejor opción para ti
"En Alejandro Prieto Dental somos especialistas en rehabilitaciones de boca completa con implantes, incluso en pacientes con falta de hueso severa"
-Dr. Alejandro Prieto



conoce al equipo – Alejandro Prieto Dental
Equipo multidisciplinar
En Alejandro Prieto Dental contamos con un equipo multidisciplinar especializado en implantes dentales, dentadura fija sobre implantes con carga inmediata y carillas dentales de alta estética.
El equipo está liderado por el Dr. Alejandro Prieto, cirujano implantólogo de prestigio internacional, experto en impantes de boca completa y en resultados de alta estética dental. Contamos con laboratorio dental en exclusiva, lo que nos permite controlar internamente cada fase del tratamiento para asegurar calidad, precisión y resultados predecibles.
Nuestro objetivo: resultados naturales, estables y duraderos para cada paciente.
Historias de transformación
Si alguna vez te han dicho que tu caso no tiene solución, en Alejandro Prieto Dental desafiamos los límites de la odontología para ofrecerte la respuesta que estabas buscando.
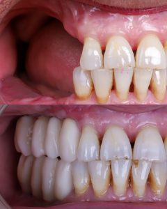
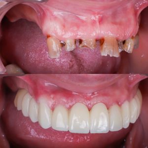
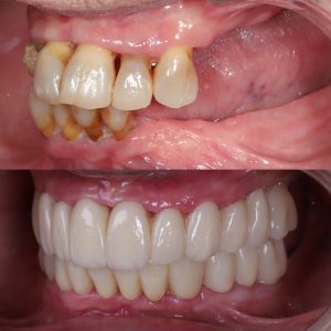
Antes y después

Antes y después

Antes y después

Antes y después

Antes y después

Antes y después

Preguntas frecuentes
No. Los implantes tradicionales siguen siendo la mejor opción cuando hay hueso suficiente:
Se anclan como la raíz de un diente natural
Llevan más de 40 años de estudios
Su durabilidad está ampliamente demostrada
Los implantes sin tornillos son una excelente alternativa cuando la regeneración no es posible.
El precio de un implante dental sin tornillos en España empieza desde los 3.000 € por implante. El precio es mas elevado que los implantes tradicionales, se debe a que son mallas de titanio personalizadas y hechas a medida.
Se sujetan mediante mallas subperiósticas apoyadas entre el hueso y la encía. Los implantes sin tornillos, se apoyan sobre el hueso sin penetrarlo.
Los implantes sin tornillos, también llamados implantes subperiósticos, son una alternativa para pacientes con falta de hueso severa que no pueden ponerse implantes dentales convencionales.
Consisten en una estructura metálica personalizada (normalmente de titanio) que se coloca sobre el hueso del maxilar, pero debajo de la encía, para sostener una prótesis fija.
A diferencia de los implantes tradicionales, que se insertan dentro del hueso, los implantes subperiósticos se adaptan a la superficie ósea mediante un diseño a medida y con sujeción a presión, ofreciendo una solución alternativa en casos de atrofia ósea severa.

Pide tu primera cita gratuita y empieza tu cambio
Visualizar la transformación
Los cambios de imagen de la sonrisa favorecen mejoras cuidadosas y matizadas, para obtener resultados naturales que garanticen el equilibrio general y la armonía facial.
Ver más historias
EXPERIMENTE LA DIFERENCIA
En Alejandro Prieto Dental, fusionamos arte, tecnología y máxima precisión para diseñar sonrisas únicas, auténticas y completamente personalizadas

