Precio implante cementado
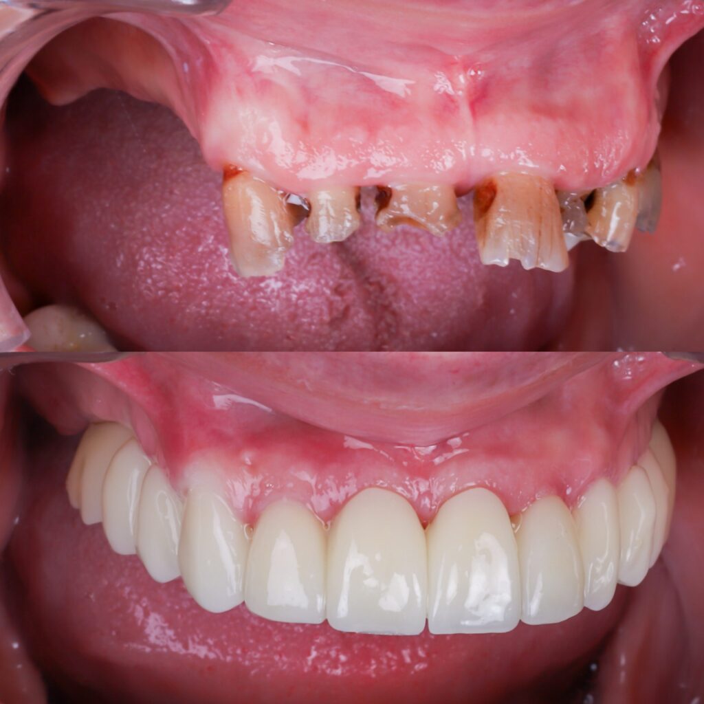
Como hemos hablado en varios post anteriores, un implante dental es una solución fija para reemplazar un diente perdido. Un implante cementado significa que la corona cerámica (el diente visible) está permanentemente unida al pilar del implante con cemento dental. Esto crea una apariencia natural y continua (sin agujeros visibles de tornillo) y una […]








