Implantes dentales en Madrid – calidad y precio en Barrio Salamanca
En Dr. Alejandro Prieto Dental Clínica Dental, tu clínica dental de confianza en el Barrio Salamanca de Madrid, somos expertos en implantes dentales de todos los tipos. Mezclamos implantología avanzada con alta estética. Si estás buscando una solución duradera, estética y con precios competitivos, aquí encontrarás la mejor opción.

¿Qué son los implantes dentales y cómo es el proceso de colocación?
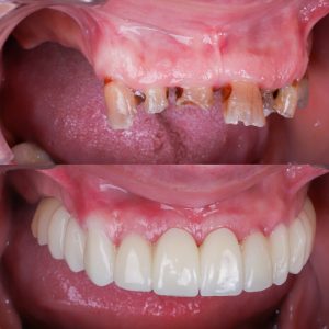
Los implantes dentales son fijaciones de titanio que sustituyen la raíz de un diente perdido y permiten colocar una corona fija. El proceso de colocación de los implantes dentales suele constar de varias fases:
Diagnóstico y planificación con escáner 3D
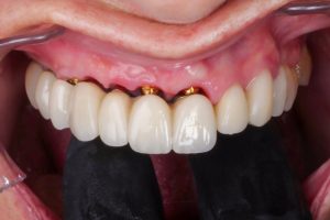
Cirugía mínimamente invasiva y colocación del los dientes provisionales en el mismo día con la técnica de carga inmediata
Integración del implante al hueso durante 2 o 3 meses
Colocación de la corona definitiva con resultados altamente estéticos y naturales
En nuestra clínica ofrecemos implantes dentales en un solo día, con carga inmediata, siempre que la estructura ósea lo permita.

¿Cuáles son los tres tipos de implantes dentales más comunes?
Implantes endoóseos: los más utilizados, colocados dentro del hueso.
Implantes subperiósticos: apoyados sobre el hueso en pacientes con poco volumen óseo.
Implantes cigomáticos: para casos extremos, anclados al hueso cigomático (pómulo).
Precio del implante dental en Madrid vs. Barcelona
Una pregunta frecuente es:
¿Cuánto cobra un dentista por poner un implante dental?
En Madrid, el precio de un implante dental oscila entre 900 y 1.500 € por pieza, según la calidad del material y la complejidad del caso.
Comparado con el precio del implante dental en Barcelona, nuestras tarifas en el Barrio Salamanca son más competitivas, manteniendo una calidad excelente.
Implantes dentales: precios económicos y accesibles
En nuestra clínica ofrecemos precios claros y asequibles:
Precio de un implante dental: desde 1.500 € todo incluido
¿Cuánto suelen costar 4 implantes dentales? Desde 5.500 € todo incluido
Dentadura fija sobre 4 implantes – precio: desde 10.000 € todo incluído
Todos los tratamientos incluyen el estudio diagnóstico, el implante, la cirugía, la corona definitiva y las revisiones.
Dentista en Madrid con precios transparentes
Si buscas un dentista en Madrid con precios justos, utilizando las mejores calidades y marcas, ofreciendo garantía de por vida y resultados de alta estética, nuestra clínica en el Barrio Salamanca es tu mejor opción.
Además, ofrecemos:
Financiación sin intereses
Tratamientos personalizados
Cirugía mínimamente invasiva
Resultados estéticos naturales
- Y lo mas importante, garantía de por vida en nuestros implantes.
Implante dental en España: por qué elegirnos
Miles de pacientes en toda España eligen nuestros implantes dentales por tres razones:
Experiencia en implantología avanzada y regeneración ósea
Tecnología de última generación
Precios económicos y ajustados sin comprometer resultados
Solicita tu cita gratuita en nuestra clínica, en el Barrio Salamanca
En Dr. Alejandro Prieto Dental ponemos a tu alcance la mejor solución en implantes dentales en Madrid, con atención cercana y personalizada.
✅ Pide tu primera consulta gratuita y empieza el camino hacia una sonrisa perfecta.
Estamos en el corazón del Barrio Salamanca, bien comunicados y con todas las garantías.
