
Los implantes dentales son raíces artificiales (normalmente tornillos de titanio o circonio) colocadas quirúrgicamente en el hueso maxilar para sostener dientes de reemplazo.
Por su durabilidad y funcionalidad, los implantes están considerados el estándar de oro para reemplazar dientes perdidos. Actualmente existen incluso implantes dentales sin tornillos, una opción novedosa para ciertos pacientes con limitaciones óseas.
Preguntas clave que vamos a cubrir en este post:
- ¿Cuánto cuesta un implante dental en Madrid?
- ¿Qué factores influyen en el precio de los implantes dentales?
- ¿Qué suele incluir el precio del tratamiento con implantes?
- Tipos de tratamientos con implantes dentales en Alejandro Prieto Dental
- ¿Qué alternativas existen a los implantes dentales?
- ¿Qué hace diferente a Alejandro Prieto Dental?
¿Cuánto cuesta un implante dental en Madrid en 2025?
En España, hoy en día un implante unitario completo (implante + corona, todo incluido) cuesta aproximadamente entre 800 y 1.500 €. Por ejemplo, un análisis identificó un precio medio inicial de 1.198 € por implante (rango de ~750 a 1.500 €), destacando que las clínicas en Madrid y Barcelona tienden a estar en el extremo superior de ese rango. De hecho, quienes buscan implante dental precio Barcelona pueden encontrar cifras similares a las de Madrid, aunque ligeramente superiores en algunas zonas.
En Alejandro Prieto Dental en Madrid, un implante con corona generalmente cuesta entre 1.200 y 1.600 €. El precio del implante final depende de la complejidad del caso (por ejemplo, necesidad de injertos óseos, elevaciones de seno o sedación). Siempre proporcionamos un presupuesto detallado tras la evaluación. Esta transparencia permite ofrecer también implantes dentales precios económicos sin comprometer la calidad.
Para rehabilitación total de la boca (All-on-4/6), los costes son más altos. En España, los tratamientos All-on-4 cuestan aproximadamente entre 9.500 y 15.600 € por arcada, por lo que una restauración completa superior e inferior puede costar entre 19,000 y 28.000 €.
¿Qué factores influyen en el precio de los implantes dentales en Madrid en 2025?
El precio de los implantes podría variar según la marca, tecnología usada, experiencia del implantólogo y complejidad del caso.
Tecnología y técnicas
Utilizamos imagen 3D avanzada y cirugía guiada por ordenador para una colocación precisa del implante. Estas tecnologías acortan el tiempo de tratamiento y mejoran los resultados, lo cual añade valor, calidad y coste. (Por ejemplo, algunas clínicas cobran por una guía quirúrgica entre 450 y 950 €, más unos 375 a 575 € por un escáner 3D CBCT).
Material del implante y marca
Usamos titanio o circonio quirúrgico de marcas internacionales líderes, conmo Zimmer o Straumann. Materiales de alta calidad tienen tasas de éxito superiores al 95% con los años. Esto influye directamente en el precio del implante, ya que los materiales de alta gama tienen un coste mayor.
Calidad de la corona
Las coronas pueden ser de porcelana sobre metal (200–400 €) o completamente cerámicas de circonio (400–800 €). El pilar conecta el implante con la corona. Las clínicas de alta calidad usan pilares originales de titanio de alta calidad que deberían estar incluidas en el precio total.
Complejidad quirúrgica
Posibles procedimientos adicionales elevan el coste. Injertos óseos simples (200–350 €), regeneraciones extensas (hasta 1.500 €), elevaciones de seno (800–1.500 €).
Experiencia y especialización
El Dr. Alejandro Prieto es experto en cirugía de implantes, incluso en casos complejos y reparaciones de implantes mal colocados en otras clínicas.
Garantías y seguimiento
Ofrecemos garantía de por vida en nuestros implantes y prótesis, sujeta a acudir a revisiones periódicas sin coste.
¿Qué incluye normalmente el precio total?
- Consulta inicial y planificación 3D: examen, radiografías o CBCT y plan digital. Suele ser gratuita.
- Implante y cirugía: incluye el tornillo (titanio o circonio), la intervención y tiempo clínico. Sin cargos ocultos.
- Pilar y corona: conector personalizado y corona de porcelana o circonio de alta calidad.
- Seguimiento: revisiones postoperatorias, visitas de curación y un año de mantenimiento. Todo esto está integrado en el precio del implante.
Si dispones de un seguro como Sanitas Dental, algunos conceptos mencionados pueden no estar incluidas en el coste.
Tipos de tratamientos con implantes dentales en Alejandro Prieto Dental

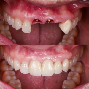
Implante unitario: Reemplazo de un solo diente con implante y corona.
Puente sobre implantes: Para varios dientes perdidos, se colocan pocos implantes para sostener un puente fijo (por ejemplo, 2 implantes para un puente de 3 dientes).
Rehabilitación total (All-on-4 / All-on-6): Prótesis fija sobre 4 o 6 implantes por arcada. Solución permanente sin removibles.
Implantes cigomáticos o sin hueso: Para pacientes con gran pérdida ósea, se usan implantes más largos anclados al pómulo, evitando injertos grandes.
Carga inmediata: Colocamos dientes provisionales el mismo día de la cirugía para la colocación de implanes.
¿Qué hace diferente a Alejandro Prieto Dental?
En Dr. Alejandro Prieto Clínica Dental nos especializamos en implantes y casos complejos, incluyendo correcciones de tratamientos fallidos en otras clínicas.
-Usamos imagen 3D y cirugía guiada en casi todos los casos. Esto está siempre incluido en el precio, sin coste adicional.
-Colocamos dientes provisionales el mismo día acelerando el proceso y mejorando la comodidad.
-Contamos con laboratorio dental en exclusiva, lo que reduce los tiempos de entrega y mejora la calidad y estética de los dientes.
Pide tu cita presencial u online hoy mismo!
