Los implantes dentales pueden transformar vidas al devolver no solo la funcionalidad, sino también la estética de una sonrisa. Son una solución duradera y eficaz para quienes han perdido uno o varios dientes, mejorando la salud bucal y la calidad de vida en general. Gracias a los avances en odontología, hoy en día los implantes se integran perfectamente con el hueso, ofreciendo un resultado natural y cómodo para el paciente.
En la Clínica Dental Dr. Alejandro Prieto en Madrid, contamos con una amplia experiencia en implantología y hemos ayudado a numerosos pacientes a recuperar su sonrisa y confianza. Nuestro enfoque es siempre personalizado, adaptándonos a las necesidades específicas de cada persona. Si te preguntas qué esperar antes y después de colocarte un implante dental, con fotos reales y resultados, esta guía te ofrecerá una visión clara y detallada del proceso, los cuidados necesarios y los resultados que puedes lograr.
El proceso del implante: Paso a paso
- Consulta inicial y planificación
- Examen oral completo y radiografías digitales 3D
- Evaluación de la salud del hueso maxilar
- Plan de tratamiento personalizado y cronograma
- Colocación del implante
- Cirugía mínimamente invasiva con anestesia local
- Colocación precisa del tornillo de titanio en el hueso
- Colocación de una tapa de cicatrización temporal
- Cicatrización y osteointegración (3–6 meses)
- El hueso crece alrededor del implante, fijándolo firmemente
- Revisiones periódicas para controlar la cicatrización
- Colocación del pilar y la corona
- Tras la cicatrización, se coloca un pilar (conector)
- Se fija una corona de porcelana hecha a medida para igualar tus dientes naturales
- Revisión final y cuidados posteriores
- Se verifica la comodidad del ajuste y la mordida
- Instrucciones de higiene oral y visitas de seguimiento
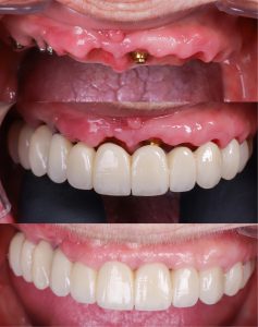
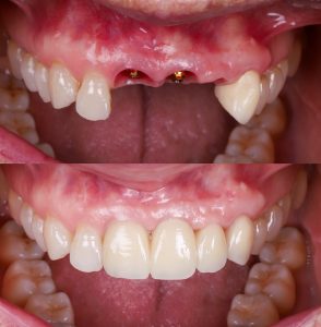
A continuación, se muestran ejemplos de pacientes reales que confiaron en la Clínica Dental Dr. Alejandro Prieto para su tratamiento con implantes. (Fotos cortesía de la galería de Alejandro Prieto Dental).
Restauración de boca completa con Implantes

Este paciente llegó a nuestra clínica con múltiples dientes deteriorados y severamente dañados, sufriendo de dolor y baja autoestima. Realizamos una rehabilitación completa de la boca utilizando implantes dentales y coronas fijas. El resultado final es una sonrisa saludable, estable y de aspecto natural que transformó por completo tanto la función como la apariencia.



