Cirugía dental para implantes dentales
En este post vamos a hablar del proceso completo de cirugía dental para colocación de implantes dentales. Para comenzar, es importante destacar que los implantes dentales son “raíces” dentales artificiales: pequeños tornillos de titanio colocados quirúrgicamente en el hueso maxilar para sostener un diente de reemplazo (corona). En otras palabras, un implante dental es un elemento metálico con forma de tornillo (a menudo llamado implante endóseo o fixture dental) que reemplaza la raíz de un diente perdido. Una vez que el implante se fusiona con el hueso, se coloca un diente protésico personalizado encima, ofreciendo la apariencia y función de un diente natural.
La cirugía dental para implantes dentales reemplaza uno o varios dientes faltantes. Nuestros pacientes optan por implantes dentales ante la falta de dientes, dado que lucen y funcionan como dientes reales y ayudan a preservar el hueso maxilar con el tiempo.

Cirugía dental
El proceso de colocación de implantes generalmente ocurre en 3 etapas. Primero, el dentista examina tu boca y utiliza planificación digital en 3D para mapear con precisión el hueso maxilar y las posiciones de los implantes. Durante la cirugía, el implantólogo, coloca el tornillo de titanio en el hueso bajo anestesia local. En muchas clínicas modernas, como la nuestra, se utiliza un flujo de trabajo digital con cirugía guiada para optimizar la colocación y la comodidad. En algunos casos, se ofrece sedación ligera para mayor confort.
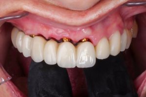
Una vez colocado el implante, el hueso se curará lentamente y se fusionará con el implante (osteointegración), creando un anclaje fuerte. Dependiendo del caso, a veces se puede colocar un diente fijo temporal el mismo día (conocido como implantes de “carga inmediata”).
Después de unas semanas o meses de cicatrización, se coloca un pilar y luego la corona definitiva. El resultado es un diente estable y de apariencia natural. Todo este proceso puede tomar varios meses, pero ofrece un reemplazo sólido y duradero para los dientes faltantes.

Etapas del proceso de cirugía dental para implantes
Consulta y planificación 3D: Se usan escáneres digitales y radiografías para diseñar tu nuevo diente en computadora, asegurando precisión y comodidad.
Colocación del implante: Bajo anestesia local, se inserta un tornillo de titanio en el hueso maxilar. Los pacientes suelen sentir solo una ligera presión.
Cicatrización e integración: El hueso se fusiona gradualmente con el implante, anclándolo firmemente. Gracias a la tecnología, la cicatrización es predecible y rápida.
Restauración final: Una vez cicatrizado, se coloca un pilar y una corona personalizados. El diente de reemplazo se fabrica para coincidir con tu sonrisa. Con implantes de carga inmediata, es posible salir el mismo día con un diente temporal.

Ventajas de los implantes dentales
Los implantes dentales tienen muchas ventajas frente a las dentaduras tradicionales o los puentes. Soportan un diente protésico que luce, se siente y funciona como un diente natural. Puedes masticar, hablar y sonreír con confianza.
Como los implantes de titanio se fusionan con el hueso, evitan la pérdida ósea que normalmente ocurre tras la pérdida de un diente. Preservar el hueso también ayuda a mantener la forma de tu rostro. Los implantes se mantienen firmes y no se mueven ni hacen clic como las dentaduras removibles. Se integran con tu mandíbula, proporcionando estabilidad y comodidad.
Los implantes tienen un porcentaje de éxito muy alto, a menudo superior al 95% a largo plazo, cuando son colocados por cirujanos experimentados. Con buena higiene oral, los implantes pueden durar toda la vida y no se deterioran como los dientes naturales. En nuestra clínica incluso ofrecemos garantía de por vida en tratamientos de implantes.
En la Clínica Dr. Alejandro Prieto Dental en Madrid, todos los tratamientos de implantes usan protocolos de carga inmediata. Esto significa que puedes salir de la clínica con tus dientes fijos temporales el mismo día de la cirugía. La carga inmediata mejora la comodidad y acelera la recuperación estética. También utilizamos materiales biocompatibles y planificación digital avanzada para que la cicatrización sea rápida y confiable.
Preguntas comunes sobre cirugía dental para implantes dentales
¿La cirugía de implantes duele? La mayoría de los pacientes siente solo molestias leves. El procedimiento se realiza con anestesia local (y sedación si se solicita), por lo que no sentirás dolor durante la cirugía. Cualquier molestia postoperatoria suele ser ligera y manejable con analgésicos simples.
¿Soy candidato para implantes? Generalmente, cualquier adulto que haya perdido uno o más dientes puede considerarse. Se necesita suficiente hueso o estar dispuesto a utilizar técnicas avanzadas (como implantes cigomáticos) si el hueso es escaso. La buena salud general y la higiene oral son importantes. Evaluaremos tu caso con radiografías y exámenes para asegurarnos de que los implantes sean seguros para ti.
¿Cuánto duran los implantes? Con cuidado adecuado, los implantes pueden durar décadas o toda la vida. Los tornillos de metal no se deterioran. Una buena higiene y revisiones periódicas mantienen los implantes saludables.
¿Existen riesgos por ponerse implantes dentales? Como cualquier cirugía, los riesgos incluyen infección o complicaciones menores (como entumecimiento temporal). Sin embargo, son poco comunes y prevenibles con técnica experta. Utilizamos métodos estériles y mínimamente invasivos para reducir todos los riesgos.
¿Cómo debo cuidar mis implantes tras la cirugía dental? El cuidado después de la cirugía es similar al de los dientes naturales: cepillado dos veces al día, uso de hilo dental diario y limpiezas dentales regulares. Se pueden recomendar cepillos o hilo especiales para implantes.
¿Cuánto cuestan los implantes? Los costos varían según el tipo de tratamiento y la cantidad de implantes. Aunque los implantes son una inversión mayor que las dentaduras, ofrecen mejor función y durabilidad. Proporcionamos presupuestos detallados y podemos discutir opciones de financiamiento o seguros.
Recupera tu sonrisa en Madrid
En Dr. Alejandro Prieto Clínica Dental, hacemos que la cirugía de implantes sea lo más segura y cómoda posible. Nuestra clínica en Madrid ofrece opciones de anestesia sin dolor y un enfoque amable incluso para pacientes ansiosos. Desde la primera consulta hasta la colocación de la corona final, nuestro equipo te guía con explicaciones claras y cuidado personalizado.
Si te faltan dientes o estás cansado de las dentaduras sueltas, consulta sobre los implantes dentales. Nuestra clínica ofrece todo tipo de tratamientos, desde implantes unitarios hasta casos completos All-on-4, lo que nos permite resolver casi cualquier situación de pérdida dental. Usamos planificación digital moderna y carga inmediata para que obtengas tus nuevos dientes de forma rápida y precisa.
Agenda una cita o contáctanos para programar tu consulta.
