
Muchas personas se sienten cohibidas cuando pierden dientes, pero la dentadura fija completa sobre implantes restaura tu sonrisa de forma natural y permanente. Los implantes dentales reemplazan dientes perdidos con una prótesis fija o removible anclada en el hueso maxilar. Las dentaduras sobre implantes se sienten y funcionan como dientes reales: te brindan una mordida fuerte, confiable y una sonrisa hermosa y segura.
En Dr. Alejandro Prieto Clínica Dental (en Salamanca, Madrid), nuestro equipo experimentado utiliza planificación digital avanzada y materiales de alta calidad para garantizar resultados seguros y duraderos.
¿Qué son las dentaduras fijas completas?
Las dentaduras fijas completas son prótesis sobre implantes que funcionan como dientes de reemplazo. Están sostenidos por implantes dentales anclados al hueso, en lugar de descansar sobre las encías como pasa con una dentadura removible.
El implante de titanio se fusiona con el hueso, proporcionando una “raíz” estable. Sobre estos implantes se colocan coronas unitarias, puentes o dentaduras completas. Esto hace que los dientes se sientan seguros: no se deslizan ni necesitan adhesivos molestos como las dentaduras tradicionales.

Tipos de tratamientos con implantes dentales
Las dentaduras sobre implantes pueden reemplazar desde un solo diente hasta toda la boca. Por ejemplo:
- Implante unitario: Si has perdido un solo diente, podemos colocar un implante y una corona que luzca y funcione como un diente natural.
- Puente sobre implantes: Para varios dientes adyacentes perdidos, dos o más implantes pueden soportar un puente de coronas.
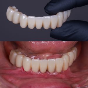
- Dentadura fija para arcada completa (conocida como all-on-4/6/8): Si faltan todos los dientes en un arco (superior o inferior), se pueden usar 4, 6 u 8 implantes para soportar una dentadura fija: un arco no removible de dientes. Esta es la técnica All-on-4/6/8, ideal para una solución permanente y realista. Esta técnica de rehabilitación completa, conocida como All‑on‑4 – procedimiento de rehabilitación completa, permite colocar una prótesis fija en un solo día.
- Soluciones para pérdida de hueso: Incluso con poco hueso maxilar, podemos poner implantes. Ya sea regenerando el hueso faltante o usando implantes avanzados, como cigomáticos. Esto nos permite colocar implantes de forma segura en pacientes a quienes les dijeron que era imposible en otros lugares.
Cada opción se personaliza según tu situación. Todos nuestros tratamientos con dentaduras sobre implantes utilizan carga inmediata, lo que significa que te vas con un juego temporal de dientes el mismo día (usualmente dentro de las 24 horas). Así, nunca estarás sin dientes y podrás disfrutar de los beneficios de inmediato.
Beneficios de las dentaduras sobre implantes
- Apariencia y comodidad natural: Las dentaduras sobre implantes se fabrican a medida para tu boca con la última tecnología. No cubren el paladar ni presionan las encías como las dentaduras antiguas, por lo que se sienten más naturales. Puedes comer y hablar normalmente como si fuesen dientes reales.
- Estabilidad y potencia de masticación: Al fusionarse con el hueso, los nuevos dientes son muy estables. Puedes morder y masticar con confianza: disfruta nuevamente de carne, nueces o manzanas sin temor a que se deslicen.
- Conservación del hueso maxilar: Los implantes estimulan el hueso como las raíces naturales. Esto previene la pérdida ósea y el aspecto facial hundido que ocurre con dentaduras convencionales. El contorno de encías y hueso se mantiene más saludable y completo.
- Durabilidad: Con buenos cuidados, los implantes dentales duran décadas, (En Dr. Alejandro Prieto Clínica Dental toda la vida). Están hechos de titanio resistente y dientes cerámicos de alta calidad. En contraste, las dentaduras tradicionales requieren reajustes o reemplazos cada pocos años.
- Mejor funcionamiento y habla: Las dentaduras sobre implantes restauran la altura de mordida. Esto mejora la pronunciación (sin chasquidos) y reduce el desgaste de los dientes adyacentes. Tu sonrisa se sentirá natural y podrás saborear y disfrutar mejor los alimentos.
- Recuperación rápida: Gracias a las técnicas modernas, el procedimiento de implante es seguro y predecible. Muchos pacientes reportan poca molestia (hinchazón o dolor leve durante uno o dos días). Ofrecemos sedación o anestesia para que puedas relajarte o incluso dormir durante la cirugía.
- Resultados inmediatos: Al usar implantes de carga inmediata, obtienes dientes provisionales el mismo día. Comienzas a sonreír, comer alimentos blandos y disfrutar la vida en 24 horas, sin esperar meses con una dentadura temporal.

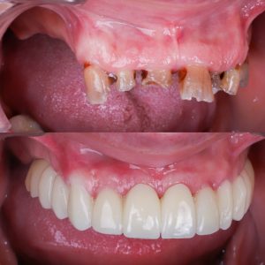
Tratamiento antes y después de dentadura fija sobre implantes de arco completo. Las imágenes superiores muestran una pérdida dental severa; la imagen inferior muestra la sonrisa restaurada con dientes fijos sobre implantes en el mismo día de la cirugía.
El proceso de los implantes dentales
Colocarse una dentadura sobre implantes implica varias etapas, pero nosotros lo hacemos cómodo y claro:
Consulta y planificación
Primero, examinamos tu boca, tomamos radiografías o una tomografía 3D, y hablamos sobre tus necesidades. Te explicamos tus opciones con un lenguaje sencillo. Usamos software digital para diseñar tu nueva sonrisa y planificar la posición exacta de los implantes.
Cirugía de implantes
El día de la cirugía, nos aseguramos de que estés cómodo (con anestesia local o sedación). Los implantes se colocan cuidadosamente en el hueso maxilar a través de pequeñas incisiones en la encía. La mayoría de las personas solo sienten una leve presión, no dolor. Por lo general, podemos tratar toda la mandíbula en una sola cita.
Prótesis provisional
Si es posible la carga inmediata, colocamos una prótesis temporal o puente sobre los implantes durante la cirugía. Te vas con dientes funcionales ese mismo día. Incluso si se posponen las restauraciones finales, cubrimos el área para que nunca estés sin dientes.
Período de cicatrización
Durante los siguientes 3–4 meses, los implantes se integran con tu hueso. Durante este tiempo, debes consumir alimentos muy blandos, aunque muchos pacientes pueden seguir una dieta suave cómodamente. Programamos revisiones para controlar la cicatrización y las encías.
Restauración final
Una vez cicatrizado, colocamos tus coronas o dentadura permanente. Como tenemos laboratorio en exclusiva, afinamos el color, la forma y la mordida para un ajuste perfecto. La prótesis final es extremadamente resistente con resultados de alta estética natural.
Precio dentadura fija completa
El precio de una dentadura postiza fija completa en España oscila entre 12.000 y 18.000 euros por arcada. El precio puede variar según el número de implantes necesarios, el tipo de prótesis elegida (como All-on-4, All-on-6 o All-on-8), y los materiales utilizados. En nuestra clínica en Madrid, ofrecemos planes personalizados y financiación flexible . Siempre realizamos una evaluación previa y un plan digital detallado para darte un presupuesto claro y adaptado a tus necesidades. Aunque la inversión inicial es mayor que una dentadura removible, la durabilidad, estabilidad y confort de una dentadura fija con implantes hacen que sea una solución más rentable y definitiva a largo plazo.
Cuidado posterior y mantenimiento
- Cepíllate suavemente dos veces al día y limpia alrededor de los implantes con hilo dental o un irrigador bucal, especialmente debajo de puentes y alrededor de los postes.
- Visítanos regularmente (al menos cada 6 meses) para chequeos y limpiezas profesionales; controlaremos tus implantes y encías para mantenerlos saludables.
- Durante la etapa inicial de cicatrización, consume alimentos muy blandos como sopas, yogur y puré de verduras. Una vez cicatrizado, podrás disfrutar de la mayoría de los alimentos, evitando aquellos muy duros o pegajosos que puedan dañar la prótesis.
- Evita fumar, especialmente durante la recuperación, ya que el tabaco puede afectar negativamente la cicatrización de los implantes.
- Si notas molestias inusuales o aflojamiento, contáctanos de inmediato; la atención temprana previene problemas mayores.
- Cuidar tu dentadura sobre implantes se convierte en parte natural de tu rutina, igual que cuidar los dientes reales. Con una buena higiene y nuestro apoyo continuo, pueden durar toda la vida.
Contacta hoy mismo
¿Estás listo para sonreír, comer y vivir con confianza otra vez? En Dr. Alejandro Prieto Clínica Dental en Madrid estamos para ayudarte. Contáctanos hoy para agendar tu consulta personalizada. Escucharemos tus necesidades, examinaremos tu boca y te recomendaremos la mejor solución en dentaduras sobre implantes.
