
Muchos pacientes se preguntan qué afecta al precio de un implante dental. Los precios de los implantes varían mucho, por eso esta guía explica los principales factores que afectan el coste y ofrece rangos de precios típicos. También destacaremos los tratamientos avanzados con implantes en Dr. Alejandro Prieto Clínica Dental en Madrid para ayudarte a entender qué implica.
¿Qué afecta al precio de un implante dental?
Varios factores influyen en el coste de los implantes dentales:
• Número de implantes necesarios: Un solo implante para reemplazar un diente cuesta mucho menos que una reconstrucción de toda la boca. Cada implante adicional suma al precio total.
• Tipo de restauración: Una corona simple sobre un implante es más sencilla y económica que un puente o una prótesis completa tipo all-on-4. Por ejemplo, un puente sobre implantes suele usar de 2 a 4 implantes para reemplazar varios dientes (por lo que cuesta casi de 2 a 4 veces más que un solo implante, más el costo del puente).
• Requisitos óseos y quirúrgicos: Si tu maxilar tiene poco hueso, podrían requerirse técnicas avanzadas (como implantes especiales sin injerto óseo, implantes cigomáticos, o injerto de hueso). Esto aumenta el coste del tratamiento. Los casos simples con hueso sano son más económicos.
• Tecnología y materiales: Las clínicas que usan planificación digital 3D, cirugía guiada e implantes de marcas líderes suelen cobrar más que un enfoque básico. En nuestra clínica usamos planificación 3D completa y guías CAD/CAM, lo que mejora la precisión, los resultados y el número de citas. Las coronas de zirconio de alta calidad y materiales biocompatibles también cuestan más que opciones más económicas, pero también duran mucho más.
• Servicios incluidos: Pregunta qué cubre el presupuesto. Muchas clínicas anuncian un precio “todo incluido” que abarca la evaluación, escáneres 3D, colocación del implante y corona final. Otras cobran aparte por pruebas o sedación. Siempre confirma si el precio cotizado realmente incluye todo, para evitar cargos sorpresa. En Dr. Alejandro Prieto Clínica dental damos presupuestos con todo incluido, sin sorpresas y garantía de por vida en implantes y prótesis.

Rangos de precio típicos para 2025
En España (especialmente en Madrid), el precio de un solo implante dental sin corona suele oscilar entre 800 y 1.500 €. El precio medio inicial de 1.198 € por implante. Un implante con corona generalmente cuesta entre 1.200 y 1.800 € todo incluído.
Los puentes sobre implantes que usan de 2 a 4 implantes para soportar varias coronas pueden costar entre €1.800 y €4.000 o más, dependiendo del número de implantes y materiales usados.
Las restauraciones completas de arcada como los tratamientos All-on-4 o All-on-6 son considerablemente más costosos, comenzando en €6.500–€10.000 por arcada y llegando hasta €10.000–€12.000+ en clínicas de primer nivel que usan materiales premium. Procedimientos adicionales—como injertos óseos, elevaciones de seno o extracciones—pueden sumar desde varios cientos hasta algunos miles de euros. Descuentos, seguros u ofertas especiales pueden reducir el costo total.
Nuestros tratamientos con implantes dentales en Madrid
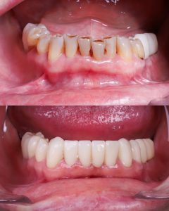
En Dr. Alejandro Prieto Clínica Dental ofrecemos una amplia gama de soluciones avanzadas con implantes dentales adaptadas a las necesidades de cada paciente. Para dientes perdidos individuales, ofrecemos implantes de carga inmediata con un diente provisional colocado el mismo día, reemplazado más adelante por una corona de zirconio definitiva. Para quienes han perdido varios dientes contiguos, nuestros puentes soportados por implantes de carga inmediata usan de 2 a 4 implantes para anclar un puente fijo de aspecto natural—sin necesidad de dentaduras removibles.
Por último, para pacientes que necesitan restauración completa, hacemos implantes de boca completa utilizando las técnicas All-on-4, All-on-6 o All-on-8. Estas implican la colocación de 4 a 8 implantes por maxilar para soportar una arcada protésica completa. Incluso pacientes con pérdida ósea severa pueden recibir dientes fijos inmediatos en 24 horas, gracias a la carga inmediata. Para pacientes con volumen óseo muy bajo, ofrecemos soluciones “Sin Hueso” que evitan injertos tradicionales mediante el uso de implantes especiales y planificación guiada para una colocación segura. En casos extremos de pérdida ósea en el maxilar superior, usamos implantes cigomáticos anclados en el pómulo para obtener resultados funcionales, estéticos y rápidos sin procedimientos largos.
Todos nuestros tratamientos están respaldados por planificación digital 3D completa y se realizan con cirugía guiada en combinación con nuestro laboratorio interno, garantizando precisión y resultados naturales. Ofrecemos con orgullo garantía de por vida en nuestros implantes y prótesis, brindando confianza y tranquilidad a nuestros pacientes.
Conclusión sobre qué afecta al precio de un implante dental
Los implantes dentales son una inversión en tu salud y confianza. Aunque su coste inicial es mayor que dentaduras simples removibles, pueden durar toda la vida y restauran la función complet como si fuesen dientes reales. En Dr. Alejandro Prieto Clínica Dental en Madrid, combinamos técnicas de implantes de última generación con atención personalizada. Cada paso se realiza con precisión y comodidad, y ofrecemos garantía de por vida en todos los implantes.
Apuntamos a la transparencia total: nuestro equipo explicará todos los costes claramente en tu plan de tratamiento personalizado. Contáctanos para una consulta; revisaremos tu caso, te mostraremos ejemplos y te daremos un presupuesto preciso para tu nueva sonrisa. Todos los precios cotizados incluyen los honorarios estándares de implante y corona; asegúrate de confirmar las inclusiones exactas al agendar tu consulta.
