Rechazo del implante dental: qué pasa cuando el implante se mueve y cómo solucionarlo
Notar que un implante dental se mueve es una situación que genera mucha preocupación. Muchos pacientes buscan información sobre el rechazo del implante dental , sus síntomas, el tiempo en el que puede producirse y, sobre todo, qué solución tiene .
En Alejandro Prieto Dental , clínica especializada en implantes dentales en Madrid, te explicamos de forma clara y profesional qué ocurre cuando un implante es rechazado , por qué puede pasar y cómo actuar a tiempo.
¿Qué es el rechazo del implante dental?
El rechazo del implante dental ocurre cuando el implante no se integra correctamente con el hueso o pierde esa integración con el tiempo. Esto provoca movilidad, molestias o infección, y hace necesario retirar el implante para evitar problemas mayores.
Aunque es poco frecuente, puede suceder incluso años después de la colocación.
¿Es malo si el implante se mueve?
Si. Un implante dental nunca debería moverse .
Si notas movilidad, es un signo claro de problema y debes acudir al especialista cuanto antes.
Cuando un implante se mueve, suele indicar:
Falta de integración ósea
Infección alrededor del implante
Sobrecarga masticatoria
Implante mal colocado
Cuanto antes se evalúe, mejor será la solución del rechazo del implante dental .
Rechazo del implante dental: síntomas más habituales
Los síntomas de rechazo del implante dental pueden variar, pero los más comunes son:
Movilidad del implante
Dolor persistente al masticar
Inflamación o enrojecimiento de la encía
Sangrado frecuente
Mal sabor o supuración
Sensación de presión o molestia continua
En casos más avanzados, aparecen los síntomas de rechazo por infección del implante dental , que requieren tratamiento inmediato.
¿Cuánto tiempo tarda el cuerpo en rechazar un implante dental?
El tiempo de rechazo del implante dental no es siempre el mismo:
Rechazo temprano : semanas o pocos meses tras la colocación
Rechazo tardío : puede aparecer incluso después de años , cuando hablamos de rechazo del implante dental después de años
Por eso es fundamental realizar revisiones periódicas, incluso aunque el implante lleve mucho tiempo funcionando bien.
¿Por qué puede rechazarse un implante dental?
Las causas más frecuentes incluyen:
Infección (periimplantitis)
Falta de hueso o mala calidad ósea
Implantes dentales mal colocados
Sobrecarga por bruxismo
Tabaquismo
Falta de higiene oral
En algunos casos, el paciente comenta que no se le ve el tornillo del implante dental , lo que puede generar confusión, pero no siempre indica rechazo; debe valorarlo un especialista.
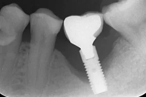
Fotos de implantes dentales mal colocados: por qué es importante el diagnóstico
Las fotos de implantes dentales mal colocados (radiografías o escáner 3D) permiten detectar problemas de posición, pérdida ósea o infección que pueden provocar el fracaso del implante.
Un diagnóstico preciso es clave para decidir la mejor solución.
Solución al rechazo del implante dental.
La solución al rechazo del implante dental depende del caso:
Retirada controlada del implante
Tratamiento de la infección
Regeneración ósea si es necesaria
Recolocación de un nuevo implante tras la cicatrización
En manos expertas, muchos pacientes pueden volver a colocarse un implante con éxito tras un rechazo previo.
¿Rechazo del implante dental y devolución del dinero?
La devolución del dinero por rechazo del implante dental depende del contrato firmado con la clínica, las garantías ofrecidas y la causa del rechazo.
Por eso es tan importante acudir a clínicas que trabajen con transparencia, planificación adecuada y seguimiento a largo plazo . En Alejandro Prieto Dental ofrecemos una garantía de por vida, mientras el paciente cumple con las visitas periódicas indicadas, higiene bucal necesaria y buenos hábitos. Evitando el uso de tabaco y sus derivados.
Preguntas frecuentes sobre el rechazo del implante dental
¿Qué pasa cuando un implante dental es rechazado?
El implante pierde su integración con el hueso, puede moverse y generar dolor o infección, por lo que debe retirarse.
¿Es malo si el implante se mueve?
Si. Un implante no debe moverse nunca. Es un signo claro de fallo.
¿Qué síntomas tienes cuando se te mueve el implante?
Dolor, inflamación, sangrado, molestias al masticar y sensación de inestabilidad.
¿Cuánto tiempo tarda el cuerpo en rechazar un implante dental?
Puede ocurrir en semanas, meses o incluso años después de la colocación.
Especialistas en implantes dentales en Madrid
En Alejandro Prieto Dental , clínica especializada en implantes dentales en Madrid, diagnosticamos y tratamos casos de implantes que se mueven , rechazo e infecciones con tecnología avanzada y un enfoque personalizado.
Si notas molestias o movilidad en tu implante dental, no esperes . Una valoración a tiempo puede marcar la diferencia.
Solicita tu cita y recibe un diagnóstico profesional en Madrid

