
Cuando te colocan un implante dental, lo ideal es que el diente artificial (la corona) se una suavemente con la línea de la encía. Sin embargo, a veces aparece un pequeño espacio entre el borde inferior de la corona del implante y la encía. Este espacio puede parecer un área oscura y atrapar restos de comida. En esta guía te explicamos qué causa ese espacio, cuándo (y si) debes preocuparte, y cómo manejarlo. También abordamos temas relacionados como la presión que puedes sentir al morder con la corona del implante. Nuestro objetivo es ayudarte a mantener tu implante sano y tu sonrisa hermosa.
Hueco entre implante y encía
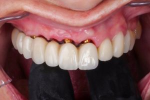
Un “espacio” entre el implante y la encía es un pequeño hueco alrededor de la base de la corona del implante donde el tejido de la encía no se une completamente con la restauración. En algunos casos, este espacio es muy pequeño y difícil de notar; en otros, puede ser más visible o parecer un pequeño bolsillo. Justo después de la cirugía, es normal que haya un leve espacio mientras los tejidos cicatrizan. Pero si ese espacio permanece abierto o se agranda con el tiempo, normalmente significa que los tejidos se han retraído. A esto se le llama comúnmente bolsillo periimplantario o simplemente recesión gingival alrededor del implante.
¿Por qué puede aparecer un espacio alrededor de mi implante?
Existen varias razones por las que puede formarse o mantenerse un espacio alrededor del implante. Algunas causas comunes son:
Cicatrización y ajuste inicial: Durante la cicatrización, el tejido blando y el hueso se adaptan al implante. A veces se deja un pequeño espacio de forma intencionada para facilitar la limpieza y la cicatrización. Después de algunas semanas, la encía suele adaptarse y sellar el área. Si el espacio persiste, puede deberse a otros factores.
Recesión gingival: Las encías pueden retraerse o encogerse si hay inflamación o enfermedad de las encías (conocida como periimplantitis cuando ocurre alrededor de implantes). Si el tejido se retrae, puede quedar más parte del implante expuesta, dejando un espacio visible.
Pérdida ósea: Si el hueso que sostiene el implante se reduce (por infección o falta de estimulación), la encía normalmente también retrocede. La pérdida ósea es un problema grave, ya que debilita el soporte del implante. Los espacios suelen aparecer cuando el hueso subyacente se ha reducido.
Ajuste de la corona o del pilar: Si la corona o el pilar (la pieza que conecta la corona con el implante) no tiene la forma ideal o es muy alto, puede crearse un escalón que impide que la encía lo cubra bien. Por ejemplo, si el implante se colocó un poco alto en la boca, la corona puede quedar sobresaliendo de la encía, lo que genera un espacio.
Forma y espacio de la corona: Una corona mal contorneada o con demasiado espacio entre los dientes puede atrapar comida. Incluso una corona bien ajustada puede dejar un pequeño espacio para facilitar la limpieza, pero si es muy ancho, actúa como un “atrapa comida” debajo de la encía. Alimentos pegajosos o fibrosos (como espinaca o fibras de carne) son más propensos a quedar atrapados en esos huecos.
Anatomía individual: Cada boca es diferente. Algunas personas naturalmente tienen un surco gingival más profundo alrededor de los implantes, lo cual puede parecer un espacio. Además, los implantes cercanos a los senos nasales (en el maxilar superior) a veces se colocan un poco más altos para proteger esas estructuras, lo que deja un pequeño espacio visible.
Cuando colocamos tu implante y corona, buscamos un sellado perfecto. Sin embargo, estos factores pueden hacer que el espacio aparezca después.
¿Es normal el espacio? – ¿Debo preocuparme?
Un pequeño espacio justo después del tratamiento con implantes no suele ser peligroso. A medida que los tejidos cicatrizan, puedes notar que el espacio se reduce en unas semanas. Muchos pacientes ven una pequeña línea negra que con el tiempo desaparece.
Sin embargo, debes prestar atención si el espacio se agranda o se hace más profundo, si frecuentemente se acumulan restos de comida, o si notas mal aliento, sangrado en las encías o irritación alrededor del implante. Encías enrojecidas o inflamadas cerca del implante, así como dolor o sensibilidad en esa zona, también son señales de alerta. La acumulación repetida de comida en el espacio puede llevar a irritación, inflamación o incluso pérdida ósea con el tiempo. También puede hacerte sentir incómodo al hablar o sonreír si el hueco es visible.
En resumen, un pequeño espacio superficial puede ser normal, pero un hueco grande o que empeora es motivo de preocupación. Si tienes dudas, lo mejor es que te revisemos. El tratamiento temprano es más sencillo y ayuda a mantener tu implante sano a largo plazo.
¿Cómo podemos corregir o manejar el espacio entre el implante y la encía?
La buena noticia es que la mayoría de los espacios entre el implante y la encía pueden corregirse o manejarse. Aquí te explicamos algunos pasos y tratamientos que podemos recomendar:
Evaluación profesional: Primero, examinaremos tu implante mediante radiografías y una revisión clínica. Mediremos el espacio y revisaremos los niveles óseos. Esto nos ayuda a identificar la causa (por ejemplo, si se trata simplemente de una corona mal ajustada o si hay pérdida ósea).
Limpieza profunda: Sea cual sea la causa, mantener la zona limpia es fundamental. Limpiamos cuidadosamente alrededor del implante para eliminar placa o sarro, usando instrumentos especiales para implantes. Si hay inflamación de encías (enrojecimiento, sangrado), podemos realizar una limpieza profunda (raspado y alisado radicular) o enjuagues con antibióticos.
Ajuste de la corona: Si detectamos que la corona o el pilar es demasiado alto o no ajusta bien, podemos modificar la corona. Esto puede incluir pulirla o remodelarla para eliminar puntos altos. En algunos casos, se recomienda fabricar una nueva corona o usar un pilar diferente que permita un mejor contacto con la encía. Por ejemplo, elegir un pilar más corto o de color personalizado puede ayudar a que la corona se asiente más abajo.
Cirugía de encía: Cuando la encía se ha retraído, un injerto de encía (injerto de tejido blando) puede cubrir las partes expuestas del implante. Tomamos tejido de tu paladar o de un banco de tejidos y lo suturamos alrededor del implante. Esto mejora la estética y sella el espacio.
Injerto óseo: Si la causa es pérdida de hueso, un injerto óseo puede reconstruir el hueso faltante bajo la encía. Añadimos material óseo alrededor del implante. Con el tiempo, tu cuerpo se fusiona con ese injerto (proceso llamado osteointegración), dando mayor soporte a la encía para que cierre el espacio.
Enfoques combinados: En ocasiones, se realiza tanto injerto de encía como injerto óseo. Las técnicas modernas nos permiten regenerar ambos tejidos y restaurar un contorno natural alrededor del implante.
Soluciones protésicas: En algunos casos, podemos usar material de color rosa (simulando encía) o del color del diente en la base de la corona para rellenar visualmente el espacio y guiar la encía. Es una solución estética útil cuando hay pequeños espacios que afectan la apariencia de la sonrisa.
Después de cualquier tratamiento, realizaremos controles de seguimiento para confirmar que el espacio se haya cerrado y los tejidos estén sanos. Nuestro objetivo es lograr un sellado firme sin huecos que atrapen restos.
Presión de la corona sobre el implante: ¿Qué significa?
Después de colocar tu nueva corona, podrías notar una sensación de presión o ajuste al morder. Esto es bastante común y puede deberse a varias razones:
Primero, el ajuste apretado inicial de la corona puede sentirse diferente. Antes de colocarla, había un espacio vacío por el diente perdido o una corona temporal. Ahora que la corona definitiva ocupa ese espacio, puede parecer un poco voluminosa al principio. Es normal sentir esta diferencia durante los primeros días mientras tu boca se adapta.
También puedes sentir una leve presión en las encías. Una corona nueva puede presionar suavemente el tejido que la rodea, provocando algo de sensibilidad o incluso un leve blanqueamiento temporal de la encía. Esto suele desaparecer en una semana, cuando el tejido se ajusta a la nueva forma.
Además, es posible que la corona toque los dientes vecinos, lo que puede generar una sensación de presión o una mordida alta en un lado. Esto es común, especialmente si antes tenías un espacio vacío o una corona temporal más pequeña. Nuevamente, espera unos días: la mayoría de las personas se ajustan rápidamente.
Sin embargo, si la incomodidad, el dolor o la presión fuerte duran más de una semana, es momento de revisarlo. La presión persistente puede indicar que la corona está demasiado alta (lo que se llama “punto alto”) o demasiado apretada entre los dientes. Estos problemas pueden irritar el implante o los dientes vecinos con el tiempo y deben corregirse pronto.
En Alejandro Prieto Dental, ajustar una corona es un procedimiento sencillo y sin dolor. Usamos un papel especial de mordida para detectar si la corona choca antes de tiempo y suavemente desgastamos las áreas elevadas. Si la presión está entre los dientes, podemos ensanchar un poco el contacto o remodelar los bordes de la corona para mejorar el ajuste.
También es importante proteger tu implante de fuerzas desequilibradas. Aunque los implantes son resistentes, una mordida mal distribuida puede generar desgaste o aflojar la corona. Los ajustes tempranos previenen estas complicaciones y mantienen tu implante seguro.
¿Por qué elegir Alejandro Prieto Dental en Madrid?
En Alejandro Prieto Dental, somos especialistas en implantología avanzada y estética dental. Contamos con años de experiencia ayudando a pacientes con restauraciones de implantes en el Barrio de Salamanca de Madrid. Nuestra clínica utiliza tecnología digital de última generación y materiales de alta calidad para lograr resultados precisos. Por ejemplo:
Si has notado un espacio alrededor de tu implante, o si tu corona se siente incómoda, no lo ignores. Contáctanos para una revisión. Diagnosticaremos el problema y te recomendaremos la mejor solución para cerrar el espacio y proteger tu implante.
Agenda tu visita hoy mismo para obtener respuestas y soluciones. Nuestro equipo habla tu idioma y atiende a pacientes de toda Madrid. Estamos deseando ayudarte a mantener tu implante saludable y tu sonrisa radiante.
